You have no items in your shopping cart.
EIF3E Rabbit Polyclonal Antibody
Description
Research Area
Images & Validation
−| Tested Applications | WB |
|---|---|
| Reactivity | Human |
| Predicted Reactivity | Bovine, Canine, Equine, Guinea pig, Mouse, Rabbit, Rat, Zebrafish |
Key Properties
−| Host | Rabbit |
|---|---|
| Clonality | Polyclonal |
| Immunogen | The immunogen is a synthetic peptide directed towards the middle region of human EIF3E |
| Target | EIF3E |
| Protein Sequence | Synthetic peptide located within the following region: LNMTPEEAERWIVNLIRNARLDAKIDSKLGHVVMGNNAVSPYQQVIEKTK |
| Molecular Weight | 52kDa |
| Purification | Affinity Purified |
| Conjugation | Unconjugated |
Storage & Handling
−| Storage | Maintain refrigerated at 2-8°C for up to 2 weeks. For long term storage store at -20°C in small aliquots to prevent freeze-thaw cycles. |
|---|---|
| Buffer/Preservatives | Liquid. Purified antibody supplied in 1x PBS buffer with 0.09% (w/v) sodium azide and 2% sucrose. |
| Concentration | 0.5 mg/ml |
| Expiration Date | 12 months from date of receipt. |
| Disclaimer | For research use only |
Alternative Names
−Similar Products
−EIF3E Rabbit Polyclonal Antibody [orb865505]
ELISA, FC, IHC, WB
Human, Mouse
Rabbit
Polyclonal
Unconjugated
100 μgEIF3E Rabbit Polyclonal Antibody [orb330532]
IHC, WB
Bovine, Canine, Equine, Guinea pig, Mouse, Rabbit, Rat, Zebrafish
Human
Rabbit
Polyclonal
Unconjugated
100 μlEIF3E Rabbit Polyclonal Antibody [orb626674]
ELISA, IF, IHC, WB
Human, Mouse, Rat
Rabbit
Polyclonal
Unconjugated
100 μg, 50 μgEIF3E Rabbit Polyclonal Antibody [orb626675]
ELISA, IF, IHC, WB
Human, Mouse, Rat
Rabbit
Polyclonal
Unconjugated
50 μg, 100 μg

Quality Guarantee
Explore bioreagents carefree to elevate your research. All our products are rigorously tested for performance. If a product does not perform as described on its datasheet, our scientific support team will provide expert troubleshooting, a prompt replacement, or a refund. For full details, please see our Terms & Conditions and Buying Guide. Contact us at support@biorbyt.com.

Sample Tissue: Human Hela Whole Cell, Antibody dilution: 1 ug/ml.

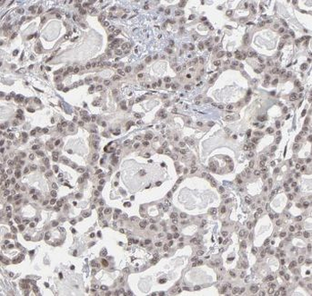
Sample Type: Human Fetal Lung, Antibody dilution: 1.0 ug/ml.

Rabbit Anti-EIF3E Antibody, Catalog Number: orb330533, Formalin Fixed Paraffin Embedded Tissue: Human heart Tissue, Observed Staining: Cytoplasmic, nucleus, Primary Antibody Concentration: 1:100, Other Working Concentrations: N/A, Secondary Antibody: Donkey anti-Rabbit-Cy3, Secondary Antibody Concentration: 1:200, Magnification: 20X, Exposure Time: 0.5-2.0 sec.

Sample Type: 1. B8 mouse fibroblast cells, extraction only2. Human total cell extractPrimary dilution: 1:1000, Secondary Anitbody: HRP conjugated anti-rabbit.

WB Suggested Anti-EIF3E Antibody Titration: 0.2-1 ug/ml, ELISA Titer: 1:62500, Positive Control: HepG2 cell lysate.
Documents Download
Request a Document
EIF3E Rabbit Polyclonal Antibody (orb330533)
Participating in our Biorbyt product reviews program enables you to support fellow scientists by sharing your firsthand experience with our products.
Login to Submit a Review












