You have no items in your shopping cart.
eIF4B (phospho Ser422) rabbit pAb Antibody
Description
Images & Validation
−| Tested Applications | ELISA, IF, IHC, WB |
|---|---|
| Dilution Range | Western Blot: 1/500 - 1/2000. Immunohistochemistry: 1/100 - 1/300. Immunofluorescence: 1/200 - 1/1000. ELISA: 1/40000. Not yet tested in other applications. |
| Reactivity | Human, Mouse |
Key Properties
−| Clonality | Polyclonal |
|---|---|
| Isotype | IgG |
| Immunogen | The antiserum was produced against synthesized peptide derived from human eIF4B around the phosphorylation site of Ser422. AA range:388-437 |
| Molecular Weight | 80 |
| Purification | The antibody was affinity-purified from rabbit antiserum by affinity-chromatography using epitope-specific immunogen. |
| Conjugation | Unconjugated |
Storage & Handling
−| Storage | Maintain refrigerated at 2-8°C for up to 2 weeks. For long term storage store at -20°C in small aliquots to prevent freeze-thaw cycles. |
|---|---|
| Buffer/Preservatives | PBS with 0.02% sodium azide and 50% glycerol pH 7.4. |
| Concentration | 1 mg/ml |
| Expiration Date | 12 months from date of receipt. |
| Disclaimer | For research use only |
Alternative Names
−Similar Products
−phospho-EIF4B (Ser422) Rabbit pAb, AE conjugated [orb2843445]
ELISA
Bovine, Canine, Equine, Guinea pig, Human, Mouse, Porcine, Rabbit, Rat, Sheep
Rabbit
Polyclonal
AE
100 μlphospho-EIF4B (Ser422) Rabbit pAb, PerCP-Cy7 conjugated [orb2843446]
IF
Bovine, Canine, Equine, Guinea pig, Human, Mouse, Porcine, Rabbit, Rat, Sheep
Rabbit
Polyclonal
PerCP/Cy7
100 μlphospho-EIF4B (Ser422) Rabbit pAb, Pacific Blue conjugated [orb2843447]
IF
Bovine, Canine, Equine, Guinea pig, Human, Mouse, Porcine, Rabbit, Rat, Sheep
Rabbit
Polyclonal
Pacific Blue
100 μlphospho-EIF4B (Ser422) Rabbit pAb, BF700 conjugated [orb2843448]
IF
Bovine, Canine, Equine, Guinea pig, Human, Mouse, Porcine, Rabbit, Rat, Sheep
Rabbit
Polyclonal
BF700
100 μlphospho-EIF4B (Ser422) Rabbit pAb, AP conjugated [orb2843449]
ELISA, IHC-Fr, IHC-P, WB
Bovine, Canine, Equine, Guinea pig, Human, Mouse, Porcine, Rabbit, Rat, Sheep
Rabbit
Polyclonal
AP
100 μl

Quality Guarantee
Explore bioreagents carefree to elevate your research. All our products are rigorously tested for performance. If a product does not perform as described on its datasheet, our scientific support team will provide expert troubleshooting, a prompt replacement, or a refund. For full details, please see our Terms & Conditions and Buying Guide. Contact us at support@biorbyt.com.

Western Blot analysis of 293 cells using Phospho-eIF4B (S422) Polyclonal Antibody diluted at 1:2000.

Enzyme-Linked Immunosorbent Assay (Phospho-ELISA) for Immunogen Phosphopeptide (Phospho-left) and Non-Phosphopeptide (Phospho-right), using eIF4B (Phospho-Ser422) Antibody.

Immunofluorescence analysis of NIH/3T3 cells, using eIF4B (Phospho-Ser422) Antibody. The picture on the right is blocked with the phospho peptide.

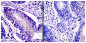
Immunohistochemistry analysis of paraffin-embedded human colon carcinoma, using eIF4B (Phospho-Ser422) Antibody. The picture on the right is blocked with the phospho peptide.
Documents Download
Request a Document
Protocol Information
eIF4B (phospho Ser422) rabbit pAb Antibody (orb768842)
Participating in our Biorbyt product reviews program enables you to support fellow scientists by sharing your firsthand experience with our products.
Login to Submit a Review