You have no items in your shopping cart.
EIF4EBP1 Antibody (Center)
Description
Research Area
Images & Validation
−| Tested Applications | FC, IHC-P, WB |
|---|---|
| Dilution Range | WB - 1:1000, IHC-P - 1:100-500, FC - 1:10-50 |
| Reactivity | Human |
| Predicted Reactivity | Bovine, Mouse, Rat |
Key Properties
−| Antibody Type | Primary Antibody |
|---|---|
| Host | Rabbit |
| Clonality | Polyclonal |
| Isotype | Rabbit IgG |
| Molecular Weight | 12580 Da |
| Conjugation | Unconjugated |
Storage & Handling
−| Storage | Maintain refrigerated at 2-8°C for up to 2 weeks. For long term storage store at -20°C in small aliquots to prevent freeze-thaw cycles |
|---|---|
| Form/Appearance | Purified polyclonal antibody supplied in PBS with 0.09% (W/V) sodium azide. This antibody is prepared by Saturated Ammonium Sulfate (SAS) precipitation followed by dialysis against PBS. |
| Expiration Date | 12 months from date of receipt. |
| Disclaimer | For research use only |
Similar Products
−4EBP1 Rabbit Polyclonal Antibody [orb304749]
IHC, WB
Human, Monkey, Mouse, Rat
Rabbit
Polyclonal
Unconjugated
30 μl, 100 μl, 200 μl, 50 μl

Quality Guarantee
Explore bioreagents carefree to elevate your research. All our products are rigorously tested for performance. If a product does not perform as described on its datasheet, our scientific support team will provide expert troubleshooting, a prompt replacement, or a refund. For full details, please see our Terms & Conditions and Buying Guide. Contact us at support@biorbyt.com.

EIF4EBP1 Antibody (Center) flow cytometric analysis of 293 cells (right histogram) compared to a negative control cell (left histogram). FITC-conjugated goat-anti-rabbit secondary antibodies were used for the analysis.

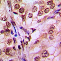
EIF4EBP1 Antibody (Center) immunohistochemistry analysis in formalin fixed and paraffin embedded human breast tissue followed by peroxidase conjugation of the secondary antibody and DAB staining. This data demonstrates the use of EIF4EBP1 Antibody (Center) for immunohistochemistry. Clinical relevance has not been evaluated.

Western blot analysis of EIF4EBP1 (arrow) using rabbit polyclonal EIF4EBP1 Antibody (Center). 293 cell lysates (2 ug/lane) either nontransfected (Lane 1) or transiently transfected (Lane 2) with the EIF4EBP1 gene.
Quick Database Links
UniProt Details
−Documents Download
Request a Document
Protocol Information
EIF4EBP1 Antibody (Center) (orb1937316)
Participating in our Biorbyt product reviews program enables you to support fellow scientists by sharing your firsthand experience with our products.
Login to Submit a Review
