You have no items in your shopping cart.
ELP3 Antibody
Description
Images & Validation
−| Tested Applications | IHC, WB |
|---|---|
| Reactivity | Human, Mouse, Rat |
| Application Notes |
Key Properties
−| Antibody Type | Primary Antibody |
|---|---|
| Host | Rabbit |
| Clonality | Polyclonal |
| Isotype | IgG |
| Immunogen | Recombinant fusion protein containing a sequence corresponding to amino acids 358-547 of human ELP3 (NP_060561.3). |
| Target | ELP3 |
| Molecular Weight | Observed: 62kDa |
| Purification | Affinity purification |
| Conjugation | Unconjugated |
Storage & Handling
−| Storage | Maintain refrigerated at 2-8°C for up to 2 weeks. For long term storage store at -20°C in small aliquots to prevent freeze-thaw cycles. |
|---|---|
| Form/Appearance | Liquid |
| Buffer/Preservatives | PBS with 0.02% sodium azide, 50% glycerol, pH 7.3. |
| Concentration | batch dependent |
| Expiration Date | 12 months from date of receipt. |
| Disclaimer | For research use only |
Alternative Names
−Similar Products
−KAT9/ELP3 Rabbit Polyclonal Antibody [orb546340]
WB
Human, Mouse, Rat
Rabbit
Polyclonal
Unconjugated
100 μg

Quality Guarantee
Explore bioreagents carefree to elevate your research. All our products are rigorously tested for performance. If a product does not perform as described on its datasheet, our scientific support team will provide expert troubleshooting, a prompt replacement, or a refund. For full details, please see our Terms & Conditions and Buying Guide. Contact us at support@biorbyt.com.

Western blot analysis of extracts of Mouse kidney, using ELP3 antibody (orb1255536) at 1:1000 dilution. Secondary antibody: HRP Goat Anti-Rabbit IgG (H+L) at 1:10000 dilution. Lysates/proteins: 25 ug per lane. Blocking buffer: 3% nonfat dry milk in TBST. Detection: ECL Basic Kit. Exposure time: 120s.

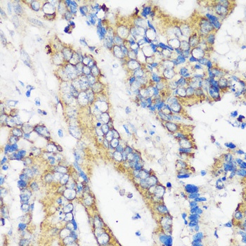
Immunohistochemistry of paraffin-embedded human lung cancer using ELP3 antibody (orb1255536) at dilution of 1:200 (40x lens).

Immunohistochemistry of paraffin-embedded human liver cancer using ELP3 antibody (orb1255536) at dilution of 1:200 (40x lens).

Immunohistochemistry of paraffin-embedded human colon carcinoma using ELP3 antibody (orb1255536) at dilution of 1:200 (40x lens).

Immunohistochemistry of paraffin-embedded human breast cancer using ELP3 antibody (orb1255536) at dilution of 1:200 (40x lens).

Immunohistochemistry of paraffin-embedded human gastric cancer using ELP3 antibody (orb1255536) at dilution of 1:200 (40x lens).

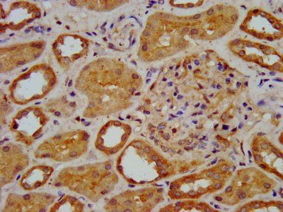
Immunohistochemistry of paraffin-embedded mouse lung using ELP3 antibody (orb1255536) at dilution of 1:200 (40x lens).

Immunohistochemistry of paraffin-embedded mouse spleen using ELP3 antibody (orb1255536) at dilution of 1:200 (40x lens).

Immunohistochemistry of paraffin-embedded mouse kidney using ELP3 antibody (orb1255536) at dilution of 1:200 (40x lens).
Quick Database Links
UniProt Details
−Documents Download
Request a Document
Protocol Information
ELP3 Antibody (orb1255536)
Participating in our Biorbyt product reviews program enables you to support fellow scientists by sharing your firsthand experience with our products.
Login to Submit a Review










