You have no items in your shopping cart.
EMID2 Antibody (Center)
SKU: orb164824
Description
Research Area
Signal Transduction
Images & Validation
−Item 1 of 1
| Tested Applications | WB |
|---|---|
| Dilution Range | WB: 1:1000 |
| Reactivity | Human |
Key Properties
−| Antibody Type | Primary Antibody |
|---|---|
| Host | Rabbit |
| Clonality | Polyclonal |
| Isotype | Rabbit IgG |
| Clone No. | RB37856 |
| Immunogen | Synthetic Peptide |
| Target | COL26A1 |
| Molecular Weight | 45381 |
| Conjugation | Unconjugated |
Storage & Handling
−| Storage | Maintain refrigerated at 2-8°C for up to 2 weeks. For long term storage store at -20°C in small aliquots to prevent freeze-thaw cycles |
|---|---|
| Form/Appearance | Purified polyclonal antibody supplied in PBS with 0.09% (W/V) sodium azide. This antibody is purified through a protein A column, followed by peptide affinity purification. |
| Expiration Date | 12 months from date of receipt. |
| Disclaimer | For research use only |
Alternative Names
−Anti EMID2 antibody, anti COL26A1 antibody, anti EMU2 antibody, anti Collagen alpha-1(XXVI) chain antibody, anti EMI domain-containing protein 2 antibody, anti Emilin and multimerin domain-containing protein 2 antibody
Similar Products
−Collagen 26 alpha 1 Antibody [orb215601]
WB
Human, Mouse, Rat
Rabbit
Polyclonal
Unconjugated
50 μl, 30 μl, 100 μl, 200 μl

Quality Guarantee
Explore bioreagents carefree to elevate your research. All our products are rigorously tested for performance. If a product does not perform as described on its datasheet, our scientific support team will provide expert troubleshooting, a prompt replacement, or a refund. For full details, please see our Terms & Conditions and Buying Guide. Contact us at support@biorbyt.com.

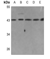
EMID2 Antibody (Center) western blot analysis in A549 cell line lysates (35 ug/lane). This demonstrates the EMID2 antibody detected the EMID2 protein (arrow).
Quick Database Links
UniProt Details
− No UniProt data available
NCBI Reference Sequences
−Associated Accession Numbers
Curated reference sequences for the gene transcript and protein product| Protein | NP_001265492.1, NP_597714.2 |
|---|
Documents Download
Datasheet
Product Information
Request a Document
EMID2 Antibody (Center) (orb164824)
Based on 0 reviews
Participating in our Biorbyt product reviews program enables you to support fellow scientists by sharing your firsthand experience with our products.
Login to Submit a Review
