You have no items in your shopping cart.
EMR2 Antibody
SKU: orb672825
Description
Images & Validation
−Item 1 of 1
| Tested Applications | ELISA, IF, WB |
|---|---|
| Dilution range | WB: 1:500-1:2000, IF: 1:200-1:1000, ELISA: 1:20000 |
| Reactivity | Human |
Key Properties
−| Host | Rabbit |
|---|---|
| Clonality | Polyclonal |
| Isotype | IgG |
| Immunogen | Synthesized peptide derived from the C-terminal region of Human EMR2. |
| Target | ADGRE2 |
| Purification | The antibody was affinity-purified from rabbit antiserum by affinity-chromatography using epitope-specific immunogen. |
| Conjugation | Unconjugated |
Storage & Handling
−| Storage | Maintain refrigerated at 2-8°C for up to 2 weeks. For long term storage store at -20°C in small aliquots to prevent freeze-thaw cycles. |
|---|---|
| Form/Appearance | Liquid |
| Buffer/Preservatives | Liquid in PBS containing 50% glycerol, 0.5% rAlbumin and 0.02% sodium azide. |
| Disclaimer | For research use only |
Alternative Names
−Anti-EMR2 antibody, anti-EGF-like module-containing mucin-like hormone receptor-like 2 antibody, anti-EGF-like module receptor 2 antibody, anti-CD antigen CD312 antibody
Similar Products
−EMR2 Antibody [orb665623]
IF, WB
Human, Mouse, Rat
Rabbit
Polyclonal
Unconjugated
200 μl, 100 μl, 30 μl, 50 μlEMR2 Antibody [orb315775]
IF, WB
Human, Mouse, Rat
Rabbit
Polyclonal
Unconjugated
200 μl, 100 μl, 30 μl, 50 μlEMR2 Antibody [orb256515]
IF, WB
Canine, Human, Mouse, Rat
Rabbit
Polyclonal
Unconjugated
200 μl, 100 μl, 30 μl, 50 μl

Quality Guarantee
Explore bioreagents carefree to elevate your research. All our products are rigorously tested for performance. If a product does not perform as described on its datasheet, our scientific support team will provide expert troubleshooting, a prompt replacement, or a refund. For full details, please see our Terms & Conditions and Buying Guide. Contact us at support@biorbyt.com.

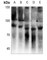
Western blot analysis of COLO cells using EMR2 antibody
Quick Database Links
Gene Symbol
ADGRE2
UniProt
UniProt Details
− No UniProt data available
Documents Download
Datasheet
Product Information
Request a Document
Protocol Information
WB
Western Blot (IB, immunoblot)
IF
Immunofluorescence
ELISA
Enzyme-linked Immunosorbent Assay (EIA)
EMR2 Antibody (orb672825)
Based on 0 reviews
Participating in our Biorbyt product reviews program enables you to support fellow scientists by sharing your firsthand experience with our products.
Login to Submit a Review











