You have no items in your shopping cart.
ENO1 Monoclonal Antibody
Description
Images & Validation
−| Tested Applications | ELISA, FC, IF, IHC, IP, WB |
|---|---|
| Dilution range | WB: 1:5000-1:320000, IHC-P:1:200-1:500, IF:1:50-1:200, FC:1:100-1:300, IP:1 μl-4 μl |
| Reactivity | Human, Mouse, Rabbit, Rat |
Key Properties
−| Host | Mouse |
|---|---|
| Clonality | Monoclonal |
| Isotype | IgG1 |
| Clone No. | 8H9G12 |
| Immunogen | Recombinant Human Alpha-enolase protein (2-434AA) |
| Target | ENO1 |
| Purification | >95%, Protein G purified |
| Conjugation | Unconjugated |
Storage & Handling
−| Storage | Maintain refrigerated at 2-8°C for up to 2 weeks. For long term storage store at -20°C in small aliquots to prevent freeze-thaw cycles. |
|---|---|
| Form/Appearance | Liquid |
| Buffer/Preservatives | Preservative: 0.03% Proclin 300. Constituents: 50% Glycerol |
| Disclaimer | For research use only |
Alternative Names
−Similar Products
−ENO1 Monoclonal Antibody [orb688876]
ELISA, FC, IF, IP, WB
Human, Mouse, Rabbit, Rat
Mouse
Monoclonal
Unconjugated
100 μl, 50 μlAlpha-enolase Antibody [orb1474575]
IF, IHC, IP, WB
Human, Mouse, Rat
Rabbit
Monoclonal
Unconjugated
200 μl, 30 μl, 50 μl, 100 μlENO1/Alpha Enolase Rabbit Monoclonal Antibody [orb547679]
ICC, IF, IP, WB
Human, Mouse, Rat
Rabbit
Monoclonal
Unconjugated
100 μlHuman ENO1/Alpha-enolase Monoclonal Antibody (1A067) [orb2956304]
ELISA, IHC, WB
Human
Mouse
Monoclonal
Unconjugated
100 μg, 50 μg

Quality Guarantee
Explore bioreagents carefree to elevate your research. All our products are rigorously tested for performance. If a product does not perform as described on its datasheet, our scientific support team will provide expert troubleshooting, a prompt replacement, or a refund. For full details, please see our Terms & Conditions and Buying Guide. Contact us at support@biorbyt.com.

Immunoprecipitation analysis of HepG2 whole cell lysate using ENO1 antibody

Western blot analysis of Human Colon Carcinoma Tissue using ENO1 antibody

Western blot analysis of MCF-7 whole cell lysate, Hela whole cell lysate, Jurkat whole cell lysate, HepG2 whole cell lysate using ENO1 antibody

Western blot analysis of HepG2 whole cell lysate using ENO1 antibody

Western blot analysis of MCF-7 whole cell lysate using ENO1 antibody

Immunohistochemical staining of human liver cancer tissue using ENO1 antibody

Immunohistochemical staining of human liver cancer tissue using ENO1 antibody

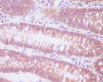
Immunohistochemical staining of human colon cancer tissue using ENO1 antibody

Immunohistochemical staining of human colon cancer tissue using ENO1 antibody

Immunohistochemical staining of human pancreas tissue using ENO1 antibody

Immunohistochemical staining of human pancreas tissue using ENO1 antibody

Immunofluorescence analysis of MCF-7 cells using ENO1 antibody

Immunofluorescence analysis of Hela cells using ENO1 antibody

Immunofluorescence analysis of HepG2 cells using ENO1 antibody

Flow cytometric analysis of Hela cells using ENO1 antibody

Flow cytometric analysis of MCF-7 cells using ENO1 antibody
Quick Database Links
UniProt Details
−Documents Download
Request a Document
Protocol Information
ENO1 Monoclonal Antibody (orb688875)
Participating in our Biorbyt product reviews program enables you to support fellow scientists by sharing your firsthand experience with our products.
Login to Submit a Review














