You have no items in your shopping cart.
Eotaxin-3 rabbit pAb Antibody
Description
Images & Validation
−| Tested Applications | ELISA, IF, IHC, WB |
|---|---|
| Dilution Range | Western Blot: 1/500 - 1/2000. IHC-p: 1:100-300 ELISA: 1/20000. Not yet tested in other applications. |
| Reactivity | Human, Mouse, Rat |
Key Properties
−| Clonality | Polyclonal |
|---|---|
| Isotype | IgG |
| Immunogen | The antiserum was produced against synthesized peptide derived from the Internal region of human CCL26. AA range:31-80 |
| Molecular Weight | 12 |
| Purification | The antibody was affinity-purified from rabbit antiserum by affinity-chromatography using epitope-specific immunogen. |
| Conjugation | Unconjugated |
Storage & Handling
−| Storage | Maintain refrigerated at 2-8°C for up to 2 weeks. For long term storage store at -20°C in small aliquots to prevent freeze-thaw cycles. |
|---|---|
| Buffer/Preservatives | PBS with 0.02% sodium azide and 50% glycerol pH 7.4. |
| Concentration | 1 mg/ml |
| Expiration Date | 12 months from date of receipt. |
| Disclaimer | For research use only |
Alternative Names
−Similar Products
−CCL26 Rabbit pAb, Pacific Blue conjugated [orb2827784]
FC, IF
Human, Mouse, Rat
Rabbit
Polyclonal
Pacific Blue
100 μlCCL26 Signal peptide Rabbit pAb, Pacific Blue conjugated [orb2827786]
FC, IF
Mouse
Human, Rat
Rabbit
Polyclonal
Pacific Blue
100 μlCCL26 Signal peptide Rabbit pAb, BF700 conjugated [orb2827787]
FC, IF
Mouse
Human, Rat
Rabbit
Polyclonal
BF700
100 μlCCL26 Rabbit pAb, Pacific Blue conjugated [orb2827797]
FC, IF
Human
Rabbit
Polyclonal
Pacific Blue
100 μl

Quality Guarantee
Explore bioreagents carefree to elevate your research. All our products are rigorously tested for performance. If a product does not perform as described on its datasheet, our scientific support team will provide expert troubleshooting, a prompt replacement, or a refund. For full details, please see our Terms & Conditions and Buying Guide. Contact us at support@biorbyt.com.

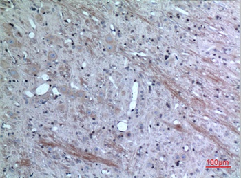
Immunohistochemical analysis of paraffin-embedded rat-brain, antibody was diluted at 1:100.

Immunohistochemical analysis of paraffin-embedded rat-brain, antibody was diluted at 1:100.

Immunohistochemical analysis of paraffin-embedded rat-brain, antibody was diluted at 1:100.

Western Blot analysis of PC-3, A549, OVCAR3, mouse colon cells using Eotaxin-3 Polyclonal Antibody. Secondary antibody was diluted at 1:20000.
Documents Download
Request a Document
Protocol Information
Eotaxin-3 rabbit pAb Antibody (orb766755)
Participating in our Biorbyt product reviews program enables you to support fellow scientists by sharing your firsthand experience with our products.
Login to Submit a Review