You have no items in your shopping cart.
ERCC8 Rabbit Polyclonal Antibody
Description
Research Area
Images & Validation
−| Tested Applications | IHC, WB |
|---|---|
| Reactivity | Human |
| Predicted Reactivity | Canine, Equine, Porcine, Rabbit, Rat |
Key Properties
−| Host | Rabbit |
|---|---|
| Clonality | Polyclonal |
| Immunogen | The immunogen is a synthetic peptide directed towards the C terminal region of human ERCC8 |
| Target | ERCC8 |
| Protein Sequence | Synthetic peptide located within the following region: QELYSGSRDCNILAWVPSLYEPVPDDDETTTKSQLNPAFEDAWSSSDEEG |
| Molecular Weight | 44kDa |
| Purification | Affinity Purified |
| Conjugation | Unconjugated |
Storage & Handling
−| Storage | Maintain refrigerated at 2-8°C for up to 2 weeks. For long term storage store at -20°C in small aliquots to prevent freeze-thaw cycles. |
|---|---|
| Buffer/Preservatives | Liquid. Purified antibody supplied in 1x PBS buffer with 0.09% (w/v) sodium azide and 2% sucrose. |
| Concentration | 0.5 mg/ml |
| Expiration Date | 12 months from date of receipt. |
| Disclaimer | For research use only |
Alternative Names
−Similar Products
−ERCC8 Rabbit Polyclonal Antibody [orb156770]
IF, IHC-Fr, IHC-P, WB
Equine, Human
Mouse, Rat
Rabbit
Polyclonal
Unconjugated
50 μl, 100 μl, 200 μlERCC8 Rabbit Polyclonal Antibody [orb574066]
IHC, WB
Bovine, Canine, Guinea pig, Mouse, Porcine, Rabbit, Rat, Zebrafish
Human
Rabbit
Polyclonal
Unconjugated
100 μlERCC8 antibody [N2C2], Internal [orb555883]
FA, ICC, PLA, WB
Human, Mouse
Rabbit
Polyclonal
Unconjugated
100 μl

Quality Guarantee
Explore bioreagents carefree to elevate your research. All our products are rigorously tested for performance. If a product does not perform as described on its datasheet, our scientific support team will provide expert troubleshooting, a prompt replacement, or a refund. For full details, please see our Terms & Conditions and Buying Guide. Contact us at support@biorbyt.com.

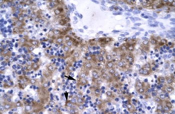
Sample Type: Human Adult Placenta, Antibody dilution: 1.0 ug/ml.

Sample Type: Human Fetal Brain, Antibody dilution: 1.0 ug/ml.

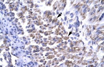
Sample Type: Human Fetal Heart, Antibody dilution: 1.0 ug/ml.

Sample Type: Human Fetal Lung, Antibody dilution: 1.0 ug/ml.

Sample Type: Human HepG2, Antibody dilution: 1.0 ug/ml. ERCC8 is supported by BioGPS gene expression data to be expressed in HepG2.

Sample Type: MCF7 Whole Cell lysates, Antibody dilution: 1.0 ug/ml.

Human Liver

Human Muscle

WB Suggested Anti-ERCC8 Antibody Titration: 0.1-5.0 ug/ml, ELISA Titer: 1:62500, Positive Control: Jurkat cell lysate.

WB Suggested Anti-ERCC8 antibody Titration: 1 ug/ml, Sample Type: Human liver.
Documents Download
Request a Document
Protocol Information
ERCC8 Rabbit Polyclonal Antibody (orb573839)
Participating in our Biorbyt product reviews program enables you to support fellow scientists by sharing your firsthand experience with our products.
Login to Submit a Review











![ERCC8 antibody [N2C2], Internal](/images/pub/media/catalog/product/e/r/ercc8-antibody_orb555883_ifa_1.jpg)
![ERCC8 antibody [N2C2], Internal](/images/pub/media/catalog/product/e/r/ercc8-antibody_orb555883_wb_1.jpg)
![ERCC8 antibody [N2C2], Internal](/images/pub/media/catalog/product/e/r/ercc8-antibody_orb555883_wb_2.jpg)
