You have no items in your shopping cart.
EREG Rabbit Polyclonal Antibody
Description
Images & Validation
−| Tested Applications | IHC-P, WB |
|---|---|
| Dilution Range | IHC-P: 1:100-800, WB: 1:200-2000 |
| Reactivity | Human, Mouse, Rat |
Key Properties
−| Host | Rabbit |
|---|---|
| Clonality | Polyclonal |
| Isotype | IgG |
| Immunogen | KLH conjugated synthetic peptide derived from human EREG. Please contact us for the exact immunogen sequence. The peptide is available as orb12967. |
| Target | EREG |
| Molecular Weight | 19 kDa |
| Purity | Polyclonal antibodies are purified by peptide affinity chromatography |
| Conjugation | Unconjugated |
Storage & Handling
−| Storage | Maintain refrigerated at 2-8°C for up to 2 weeks. For long term storage store at -20°C in small aliquots to prevent freeze-thaw cycles. |
|---|---|
| Form/Appearance | 10 mM PBS, 0.02% sodium azide |
| Concentration | - 100 μg (in 200 μl): 0.5 mg/ml- 200 μg (in 400 μl): 0.5 mg/ml |
| Expiration Date | 12 months from date of receipt. |
| Disclaimer | For research use only |
Similar Products
−ESR1 Rabbit Polyclonal Antibody [orb626779]
ELISA, IHC, WB
Human, Mouse, Rat
Rabbit
Polyclonal
Unconjugated
50 μg, 100 μgEREG Rabbit Polyclonal Antibody [orb633080]
ELISA, IHC, WB
Human
Rabbit
Polyclonal
Unconjugated
50 μg, 100 μgEREG Rabbit Polyclonal Antibody [orb77127]
ELISA, IHC, WB
Mouse, Rat
Human
Rabbit
Polyclonal
Unconjugated
100 μg

Quality Guarantee
Explore bioreagents carefree to elevate your research. All our products are rigorously tested for performance. If a product does not perform as described on its datasheet, our scientific support team will provide expert troubleshooting, a prompt replacement, or a refund. For full details, please see our Terms & Conditions and Buying Guide. Contact us at support@biorbyt.com.

IHC-P image of rat liver tissue using EREG antibody (dilution of primary antibody at 2.5 ug/ml)

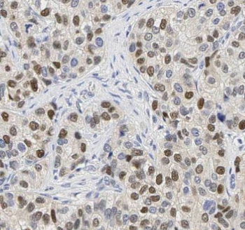
Immunohistochemical staining of paraffin embedded human colon cancer tissue using anti- EREG (primary antibody at 2.5 ug/ml)

Immunohistochemical staining of paraffin embedded human gastric cancer tissue using EREG antibody (primary antibody at 2.5 ug/ml)

IHC-P staining of human gastric cancer tissue using anti- EREG (dilution at 2.5 ug/ml)

Immunohistochemical staining of paraffin embedded human liver cancer tissue using EREG antibody (primary antibody at 2.5 ug/ml)

Immunohistochemical staining of human prostatic cancer tissue using anti- EREG (dilution of primary antibody - 2.5 ug/ml)

WB analysis of human lung cancer (lane 1), human breast cancer (lane 2), human thyroid cancer (lane 3), human endometrial cancer (lane 4), human ovarian cancer (lane 5), Hela cells (lane 6) using EREG antibody (1 ug/ml)

Wesstern blot analysis of human lung cancer (lane 1), human breast cancer (lane 2), human thyroid cancer (lane 3), human endometrial cancer (lane 4), human ovarian cancer (lane 5), Hela cells (lane 6) using EREG antibody (1 ug/ml)

Immunohistochemical staining of paraffin embedded human colon cancer tissue using anti- EREG (primary antibody at 2.5 ug/ml)
Quick Database Links
Documents Download
Request a Document
Protocol Information
Chen Y., Huo R., Kang W., Liu Y., Zhao Z., Fu W., Ma R., Zhang X., Tang J., Zhu Z., Lyu Q., Huang Y., Yan M., Jiang B., Chai R., Bao Z., Hu Z., Wang W., Jiang T., Cao Y., Wang J. Tumor-associated monocytes promote mesenchymal transformation through EGFR signaling in glioma Cell Press, 4, 101177 (2023)
EREG Rabbit Polyclonal Antibody (orb378205)
Participating in our Biorbyt product reviews program enables you to support fellow scientists by sharing your firsthand experience with our products.
Login to Submit a Review






