You have no items in your shopping cart.
ERK1/2 Antibody
Description
Research Area
Images & Validation
−| Tested Applications | ELISA, IF, IHC, WB |
|---|---|
| Dilution range | WB:1:500-1:5000; IHC: 1:100-1:400; IF: 1:20-1:200 |
| Reactivity | Human, Mouse |
Key Properties
−| Antibody Type | Primary Antibody |
|---|---|
| Host | Mouse |
| Clonality | Monoclonal |
| Isotype | IgG1 |
| Immunogen | mitogen-activated protein kinase 3 |
| Target | ERK1/2 |
| Molecular Weight | 38-44 kDa |
| Purity | ≥95% as determined by SDS-PAGE |
| Purification | Protein A+G purified |
| Conjugation | Unconjugated |
Storage & Handling
−| Storage | Maintain refrigerated at 2-8°C for up to 2 weeks. For long term storage store at -20°C in small aliquots to prevent freeze-thaw cycles. |
|---|---|
| Form/Appearance | liquid |
| Disclaimer | For research use only |
Alternative Names
−Similar Products
−Phospho-ERK1/2 (Thr202 + Tyr204) Rabbit Polyclonal Antibody [orb5178]
FC, ICC, IF, IHC-Fr, IHC-P
Bovine, Canine, Equine, Gallus, Guinea pig, Porcine, Rabbit
Human, Mouse, Rat
Rabbit
Polyclonal
Unconjugated
50 μl, 100 μl, 200 μlPhospho-ERK1 (Thr202/Tyr204) + ERK2 (Thr183/Tyr185) Rabbit Polyclonal Antibody [orb783430]
FC, IF, IHC
Bovine, Canine, Equine, Gallus, Guinea pig, Porcine, Rabbit
Human, Mouse, Rat
Rabbit
Polyclonal
Unconjugated
50 μl, 100 μl, 200 μlERK1/2 Recombinant Rabbit Monoclonal Antibody [orb704524]
FC, ICC, IF, IHC-Fr, IHC-P, WB
Zebrafish
Human, Mouse, Rat
Rabbit
Recombinant
Unconjugated
50 μl, 100 μl, 25 μlERK1 + ERK2 Rabbit Polyclonal Antibody [orb6018]
FC, ICC, IF, IHC-Fr, IHC-P, WB
Bovine, Canine, Equine, Gallus, Goat, Porcine, Rabbit, Sheep
Human, Mouse, Rat
Rabbit
Polyclonal
Unconjugated
50 μl, 100 μl, 200 μlERK1/2 Mouse Monoclonal Antibody [orb500888]
FC, IF, IHC-Fr, IHC-P, WB
Mouse, Rat
Human, Mouse, Rat
Mouse
Monoclonal
Unconjugated
200 μg, 200 μl, 50 μl, 100 μl

Quality Guarantee
Explore bioreagents carefree to elevate your research. All our products are rigorously tested for performance. If a product does not perform as described on its datasheet, our scientific support team will provide expert troubleshooting, a prompt replacement, or a refund. For full details, please see our Terms & Conditions and Buying Guide. Contact us at support@biorbyt.com.

Immunofluorescent analysis of HepG2 cells using orb626803 (ERK1/2 Antibody) at dilution of 1:50 and Alexa Fluor 488-conjugated AffiniPure Goat Anti-Mouse IgG (H+L).

HeLa cells were subjected to SDS PAGE followed by western blot with orb626803 (ERK1/2 Antibody) at dilution of 1:1000.

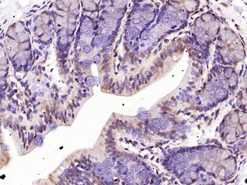
Immunohistochemistry of paraffin-embedded human ovary tumor tissue slide using orb626803 (ERK1/2 Antibody) at dilution of 1:200. Heat mediated antigen retrieved with Tris-EDTA buffer, pH9.0.
Quick Database Links
UniProt Details
−Documents Download
Request a Document
Protocol Information
ERK1/2 Antibody (orb626803)
Participating in our Biorbyt product reviews program enables you to support fellow scientists by sharing your firsthand experience with our products.
Login to Submit a Review








































