You have no items in your shopping cart.
ERPINA6/Cortisol Binding Globulin Rabbit Polyclonal Antibody
Description
Research Area
Images & Validation
−| Tested Applications | IF, IHC-Fr, IHC-P, WB |
|---|---|
| Dilution Range | WB=1:500-2000, IHC-P=1:100-500, IHC-F=1:100-500, IF=1:100-500 |
| Reactivity | Human |
| Predicted Reactivity | Bovine, Mouse, Sheep |
Related Conjugates & Formulations
−Key Properties
−| Antibody Type | Primary Antibody |
|---|---|
| Host | Rabbit |
| Clonality | Polyclonal |
| Isotype | IgG |
| Immunogen | KLH conjugated synthetic peptide derived from human Cortisol Binding Globulin (121-220/405aa) |
| Target | SERPINA6 |
| Molecular Weight | 43 kDa |
| Purification | Affinity purified by Protein A |
| Conjugation | Unconjugated |
Storage & Handling
−| Storage | Maintain refrigerated at 2-8°C for up to 2 weeks. For long term storage store at -20°C in small aliquots to prevent freeze-thaw cycles. |
|---|---|
| Form/Appearance | Liquid |
| Buffer/Preservatives | 0.01M TBS (pH7.4) with 1% rAlbumin, 0.02% Proclin300 and 50% Glycerol. |
| Concentration | 1mg/ml |
| Expiration Date | 12 months from date of receipt. |
| Disclaimer | For research use only |
Alternative Names
−Similar Products
−ERPINA6/Cortisol Binding Globulin Rabbit Polyclonal Antibody (FITC) [orb187001]
IF
Bovine, Mouse, Sheep
Human
Rabbit
Polyclonal
FITC
100 μlERPINA6/Cortisol Binding Globulin Rabbit Polyclonal Antibody (HRP) [orb471541]
IHC-Fr, IHC-P, WB
Bovine, Mouse, Sheep
Human
Rabbit
Polyclonal
HRP
100 μlERPINA6/Cortisol Binding Globulin Rabbit Polyclonal Antibody (Biotin) [orb449700]
IF, IHC-Fr, IHC-P, WB
Bovine, Mouse, Sheep
Human
Rabbit
Polyclonal
Biotin
100 μlERPINA6/Cortisol Binding Globulin Rabbit Polyclonal Antibody (PE) [orb487416]
IF
Bovine, Mouse, Sheep
Human
Rabbit
Polyclonal
PE
100 μlERPINA6/Cortisol Binding Globulin Rabbit Polyclonal Antibody (Cy5) [orb939441]
IF
Bovine, Mouse, Sheep
Human
Rabbit
Polyclonal
Cy5
100 μl

Quality Guarantee
Explore bioreagents carefree to elevate your research. All our products are rigorously tested for performance. If a product does not perform as described on its datasheet, our scientific support team will provide expert troubleshooting, a prompt replacement, or a refund. For full details, please see our Terms & Conditions and Buying Guide. Contact us at support@biorbyt.com.

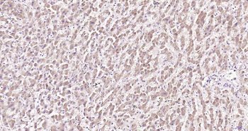
Paraformaldehyde-fixed, paraffin embedded Human Liver, Antigen retrieval by boiling in sodium citrate buffer (pH6.0) for 15 min, Antibody incubation with ERPINA6 Polyclonal Antibody, Unconjugated (orb182688) at 1:200 overnight at 4°C, followed by conjugation to the SP Kit (Rabbit) and DAB staining.

Sample: HepG2 (Human) Cell Lysate at 30 ug, Primary: Anti-Cortisol Binding Globulin (orb182688) at 1/1000 dilution, Secondary: IRDye800CW Goat Anti-Rabbit IgG at 1/20000 dilution, Predicted band size: 43 kD, Observed band size: 73 kD.
Quick Database Links
UniProt Details
−Documents Download
Request a Document
Protocol Information
ERPINA6/Cortisol Binding Globulin Rabbit Polyclonal Antibody (orb182688)
Participating in our Biorbyt product reviews program enables you to support fellow scientists by sharing your firsthand experience with our products.
Login to Submit a Review