You have no items in your shopping cart.
F-Actin Rabbit Polyclonal Antibody
Description
Images & Validation
−| Tested Applications | FC, IF, IHC-Fr, IHC-P, WB |
|---|---|
| Dilution Range | WB=1:1000-5000, IHC-P=1:100-500, IHC-F=1:100-500, IF=1:100-500, Flow-Cyt=3μg /test |
| Reactivity | Human, Mouse, Rat |
| Predicted Reactivity | Bovine, Porcine, Sheep |
Related Conjugates & Formulations
−Key Properties
−| Antibody Type | Primary Antibody |
|---|---|
| Host | Rabbit |
| Clonality | Polyclonal |
| Isotype | IgG |
| Immunogen | Synthetic MAP peptide derived from human beta-Actin (1-50/374aa) |
| Target | ACTB |
| Molecular Weight | 42 kDa |
| Purification | Affinity purified by Protein A |
| Conjugation | Unconjugated |
Storage & Handling
−| Storage | Maintain refrigerated at 2-8°C for up to 2 weeks. For long term storage store at -20°C in small aliquots to prevent freeze-thaw cycles. |
|---|---|
| Form/Appearance | Liquid |
| Buffer/Preservatives | 0.01M TBS (pH7.4) with 1% rAlbumin, 0.02% Proclin300 and 50% Glycerol. |
| Concentration | 1mg/ml |
| Expiration Date | 12 months from date of receipt. |
| Disclaimer | For research use only |
Alternative Names
−Similar Products
−Neurabin 2 Rabbit Polyclonal Antibody [orb158484]
IF, IHC-Fr, IHC-P, WB
Canine, Human, Porcine, Sheep
Mouse, Rat
Rabbit
Polyclonal
Unconjugated
50 μl, 100 μl, 200 μlAlpha Actinin 4 Rabbit Polyclonal Antibody [orb10038]
FC, IF, IHC-Fr, IHC-P, WB
Bovine, Gallus, Porcine, Rabbit
Human, Mouse, Rat
Rabbit
Polyclonal
Unconjugated
100 μl, 200 μl, 50 μlActinin-α1/2/3/4 rabbit pAb Antibody [orb764468]
ELISA, IF, IHC, WB
Human, Mouse, Rat
Polyclonal
Unconjugated
50 μl, 100 μlActinin-α2/3 rabbit pAb Antibody [orb764469]
ELISA, IF, IHC, WB
Human, Mouse, Rat
Polyclonal
Unconjugated
100 μl, 50 μlSarcomeric Alpha Actinin Rabbit Polyclonal Antibody [orb158338]
IF, IHC-Fr, IHC-P
Bovine, Canine, Equine, Gallus, Human, Porcine, Rabbit, Sheep
Mouse, Rat
Rabbit
Polyclonal
Unconjugated
50 μl, 100 μl, 200 μl

Quality Guarantee
Explore bioreagents carefree to elevate your research. All our products are rigorously tested for performance. If a product does not perform as described on its datasheet, our scientific support team will provide expert troubleshooting, a prompt replacement, or a refund. For full details, please see our Terms & Conditions and Buying Guide. Contact us at support@biorbyt.com.

Blank control (blue line): Hela (blue). Primary Antibody (green line): Rabbit Anti-F-Actin antibody (orb10068), Dilution: 3 µg/10^6 cells, Isotype Control Antibody (orange line): Rabbit IgG. Secondary Antibody (white blue line): Goat anti-rabbit IgG-PE, Dilution: 1 µg/test. Protocol, The cells were fixed with 80% methanol (5 min at -20℃) and then permeabilized with 0.1% PBS-Tween for 20 min at room temperature. Cells stained with Primary Antibody for 30 min at room temperature. The cells were then incubated in 1 X PBS/2% BSA/10% goat serum to block non-specific protein-protein interactions followed by the antibody for 15 min at room temperature. The secondary antibody used for 40 min at room temperature. Acquisition of 20000 events was performed.

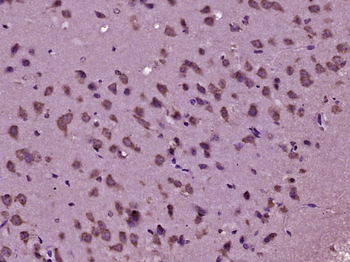
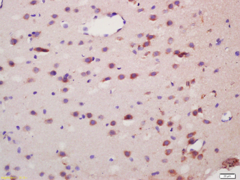
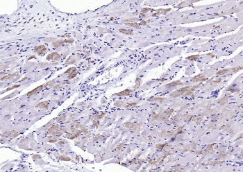
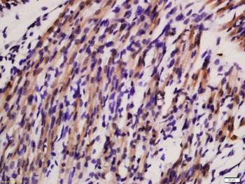
Paraformaldehyde-fixed, paraffin embedded (rat skeletal muscle), Antigen retrieval by boiling in sodium citrate buffer (pH6.0) for 15 min, Block endogenous peroxidase by 3% hydrogen peroxide for 20 minutes, Blocking buffer (normal goat serum) at 37°C for 30 min, Antibody incubation with (F-Actin) Polyclonal Antibody, Unconjugated (orb10068) at 1:200 overnight at 4°C, followed by operating according to SP Kit (Rabbit) instructionsand DAB staining.

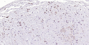
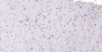
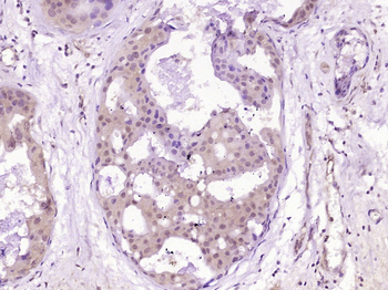
Paraformaldehyde-fixed, paraffin embedded (rat stomach), Antigen retrieval by boiling in sodium citrate buffer (pH6.0) for 15 min, Block endogenous peroxidase by 3% hydrogen peroxide for 20 minutes, Blocking buffer (normal goat serum) at 37°C for 30 min, Antibody incubation with (F-Actin) Polyclonal Antibody, Unconjugated (orb10068) at 1:200 overnight at 4°C, followed by operating according to SP Kit (Rabbit) instructionsand DAB staining.

Sample: Lane 1: Hela (Human) Whole Cell Lysate at 30 ug, Lane 2: Jurkat (Human) Whole Cell Lysate at 30 ug, Lane 3: 293T (Human) Whole Cell Lysate at 30 ug, Lane 4: Hepg2 (Human) Whole Cell Lysate at 30 ug, Lane 5: A431 (Human) Whole Cell Lysate at 30 ug, Lane 6: A549 (Human) Whole Cell Lysate at 30 ug, Lane 7: H9C2 (Rat) Whole Cell Lysate at 30 ug, Lane 8: Testis (Mouse) Tissue Lysate at 30 ug, Primary: Anti-F-Actin (orb10068) at 1/300 dilution, Secondary: IRDye800CW Goat Anti-Rabbit IgG at 1/20000 dilution, Predicted band size: 42 kD, Observed band size: 42 kD.
Quick Database Links
UniProt Details
−Documents Download
Request a Document
Protocol Information
Filter by Applications
Filter by Species
Ying Zhong # 1, Hui Kang # 1, Ziqing Ma # 1, Jiayu Li 1, Zixi Qin 1, Zixuan Zhang 1, Peiwen Li 1, Ying Zhong 1, Lihui Wang Vasorin Exocytosed from Glioma Cells Facilitates Angiogenesis via VEGFR2/AKT Signaling Pathway Mol Cancer Res ., (2024)
Applications
Reactivity
Y Guo, Y Wang, Q Li, Q Liu, X Zhang, J Ren, C Wang Bisphenol A disrupts the neuronal F-actin cytoskeleton by activating the RhoA/ROCK/LIMK pathway in Neuro-2a cells Toxicology, (2024)
Applications
F-Actin Rabbit Polyclonal Antibody (orb10068)
Participating in our Biorbyt product reviews program enables you to support fellow scientists by sharing your firsthand experience with our products.
Login to Submit a Review





















