You have no items in your shopping cart.
FAM3B Antibody
Description
Research Area
Images & Validation
−| Tested Applications | ELISA, IHC, WB |
|---|---|
| Dilution Range | WB:1:200-3000, IHC-P:1:20-200 |
| Reactivity | Human, Mouse, Rat |
Key Properties
−| Host | Rabbit |
|---|---|
| Clonality | Polyclonal |
| Isotype | IgG |
| Immunogen | Recombinant Human Protein FAM3B protein (31-235AA) |
| Target | FAM3B |
| Purification | >95%, Protein G purified |
| Conjugation | Unconjugated |
Storage & Handling
−| Storage | Maintain refrigerated at 2-8°C for up to 2 weeks. For long term storage store at -20°C in small aliquots to prevent freeze-thaw cycles. |
|---|---|
| Form/Appearance | Liquid |
| Buffer/Preservatives | Preservative: 0.03% Proclin 300. Constituents: 50% Glycerol |
| Expiration Date | 12 months from date of receipt. |
| Disclaimer | For research use only |
Alternative Names
−Similar Products
−Mouse Family with Sequence Similarity 3, Member B (FAM3B) ELISA Kit [orb781785]
Mouse
0.32-20 ng/mL
0.128 ng/mL
48 T, 96 THuman Family with Sequence Similarity 3, Member B (FAM3B) ELISA Kit [orb780116]
Human
0.63-40 ng/mL
0.257 ng/mL
96 T, 48 T

Quality Guarantee
Explore bioreagents carefree to elevate your research. All our products are rigorously tested for performance. If a product does not perform as described on its datasheet, our scientific support team will provide expert troubleshooting, a prompt replacement, or a refund. For full details, please see our Terms & Conditions and Buying Guide. Contact us at support@biorbyt.com.

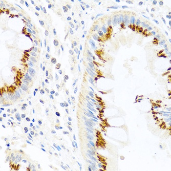
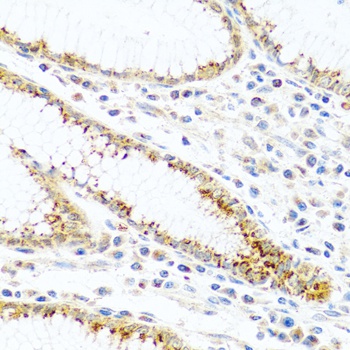
Immunohistochemistry of paraffin-embedded human small intestine tissue using FAM3B antibody

Western blot aanalysis of Rat brain tissue, Mouse brain tissueusing FAM3B antibody

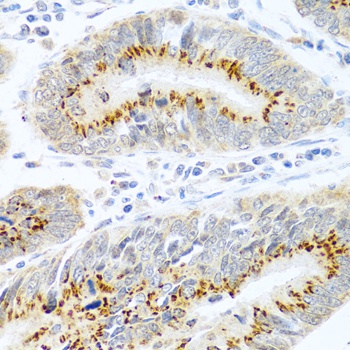
Immunohistochemistry of paraffin-embedded human colon cancer tissue using FAM3B antibody
Quick Database Links
UniProt Details
−Documents Download
Request a Document
Protocol Information
FAM3B Antibody (orb24113)
Participating in our Biorbyt product reviews program enables you to support fellow scientists by sharing your firsthand experience with our products.
Login to Submit a Review









