You have no items in your shopping cart.
FAS Antibody
Description
Images & Validation
−| Tested Applications | FC, ICC, WB |
|---|---|
| Dilution range | WB: 1/500 - 1/2000; ICC: 1/200 - 1/1000; FCM: 1/200 - 1/400; ELISA: 1/10000 |
| Reactivity | Human |
Key Properties
−| Antibody Type | Primary Antibody |
|---|---|
| Host | Mouse |
| Clonality | Monoclonal |
| Isotype | Mouse IgG1 |
| Clone No. | 4F8H6 |
| Immunogen | Purified recombinant fragment of human FAS expressed in E. Coli. |
| Target | FAS |
| Molecular Weight | 37.7kDa |
| Conjugation | Unconjugated |
Storage & Handling
−| Storage | Maintain refrigerated at 2-8°C for up to 2 weeks. For long term storage store at -20°C in small aliquots to prevent freeze-thaw cycles. |
|---|---|
| Buffer/Preservatives | Purified antibody in PBS with 0.05% sodium azide |
| Concentration | Approximately 1mg/ml (varies from batch to batch). Please inquire for precise concentration. |
| Disclaimer | For research use only |
Alternative Names
−Similar Products
−Fas Ligand Rabbit Polyclonal Antibody [orb221406]
FC, IF, IHC-Fr, IHC-P, WB
Bovine
Human, Mouse, Rat
Rabbit
Polyclonal
Unconjugated
50 μl, 100 μl, 200 μlFASN Antibody (Center) [orb1929252]
FC, IF, IHC-P, WB
Human
Rabbit
Polyclonal
Unconjugated
100 μl, 50 μlFatty Acid Synthase antibody [N1], N-term [orb556642]
ICC, IHC-Fr, IHC-P, IP, WB
Human, Mouse, Rat
Rabbit
Polyclonal
Unconjugated
100 μl

Quality Guarantee
Explore bioreagents carefree to elevate your research. All our products are rigorously tested for performance. If a product does not perform as described on its datasheet, our scientific support team will provide expert troubleshooting, a prompt replacement, or a refund. For full details, please see our Terms & Conditions and Buying Guide. Contact us at support@biorbyt.com.

Western blot analysis of Hela (Lane1), Jurkat (Lane2) cell lysate using FAS antibody

Western blot analysis of human FAS (AA: 87-278) recombinant protein using FAS antibody

Line graph illustrates about the Ag-Ab reactions using different concentrations of antigen and serial dilutions of FAS antibody

Flow cytometric analysis of Hela cells using FAS antibody

Confocal immunofluorescence analysis of Hela cells using FAS antibody
Documents Download
Request a Document
Protocol Information
FAS Antibody (orb97431)
Participating in our Biorbyt product reviews program enables you to support fellow scientists by sharing your firsthand experience with our products.
Login to Submit a Review




























![Fatty Acid Synthase antibody [N1], N-term](/images/pub/media/catalog/product/f/a/fatty-acid-synthase-antibody_orb556642_ifa_1.jpg)
![Fatty Acid Synthase antibody [N1], N-term](/images/pub/media/catalog/product/f/a/fatty-acid-synthase-antibody_orb556642_ihc_1.jpg)
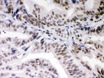
![Fatty Acid Synthase antibody [N1], N-term](/images/pub/media/catalog/product/f/a/fatty-acid-synthase-antibody_orb556642_ihc_2.jpg)
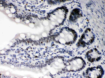
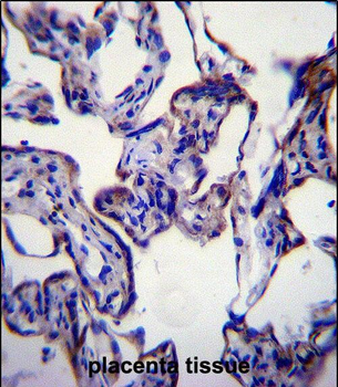
![Fatty Acid Synthase antibody [N1], N-term](/images/pub/media/catalog/product/f/a/fatty-acid-synthase-antibody_orb556642_ihc_3.jpg)
![Fatty Acid Synthase antibody [N1], N-term](/images/pub/media/catalog/product/f/a/fatty-acid-synthase-antibody_orb556642_ip_1.jpg)
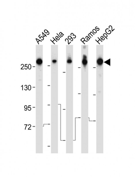
![Fatty Acid Synthase antibody [N1], N-term](/images/pub/media/catalog/product/f/a/fatty-acid-synthase-antibody_orb556642_wb_1.jpg)
![Fatty Acid Synthase antibody [N1], N-term](/images/pub/media/catalog/product/f/a/fatty-acid-synthase-antibody_orb556642_wb_2.jpg)
![Fatty Acid Synthase antibody [N1], N-term](/images/pub/media/catalog/product/f/a/fatty-acid-synthase-antibody_orb556642_wb_3.jpg)