You have no items in your shopping cart.
FBXO5 Antibody
Description
Research Area
Images & Validation
−| Tested Applications | ELISA, IHC, WB |
|---|---|
| Dilution range | WB: 1:500-1:2000; IHC: 1:20-1:200 |
| Reactivity | Human, Mouse, Rat |
Key Properties
−| Antibody Type | Primary Antibody |
|---|---|
| Host | Rabbit |
| Clonality | Polyclonal |
| Isotype | IgG |
| Immunogen | F-box protein 5 |
| Target | FBXO5 |
| Molecular Weight | 56 kDa, 45 kDa |
| Purity | ≥95% as determined by SDS-PAGE |
| Purification | Immunogen affinity purified |
| Conjugation | Unconjugated |
Storage & Handling
−| Storage | Maintain refrigerated at 2-8°C for up to 2 weeks. For long term storage store at -20°C in small aliquots to prevent freeze-thaw cycles. |
|---|---|
| Form/Appearance | liquid |
| Disclaimer | For research use only |
Alternative Names
−Similar Products
−FBXO5 Antibody [orb388157]
IHC, WB
Human
Mouse
Monoclonal
Unconjugated
20 μg, 100 μg, 100 μg (without BSA and Azide)FBXO5 Rabbit Polyclonal Antibody [orb578727]
WB
Canine, Porcine, Rabbit
Human
Rabbit
Polyclonal
Unconjugated
100 μlEMI1 (Early Mitotic Inhibitor-1) Antibody - With BSA and Azide [orb1789998]
FC, IF, IHC, WB
Human
Mouse
Monoclonal
Unconjugated
20 μgEMI1 (Early Mitotic Inhibitor-1) Antibody - With BSA and Azide [orb1462570]
FC, IF, IHC, WB
Human
Mouse
Monoclonal
Unconjugated

Quality Guarantee
Explore bioreagents carefree to elevate your research. All our products are rigorously tested for performance. If a product does not perform as described on its datasheet, our scientific support team will provide expert troubleshooting, a prompt replacement, or a refund. For full details, please see our Terms & Conditions and Buying Guide. Contact us at support@biorbyt.com.

HEK-293 cells were subjected to SDS PAGE followed by western blot with orb626981 (FBXO5 antibody) at dilution of 1:800.

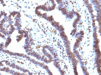
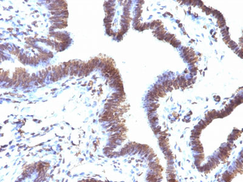
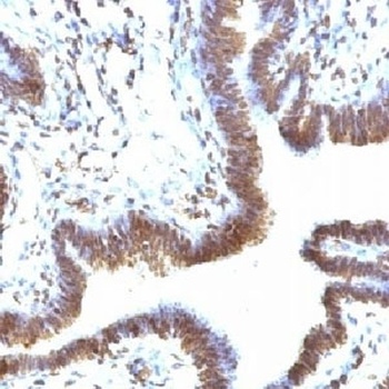
Immunohistochemistry of paraffin-embedded human ovary tumor tissue slide using orb626981 (FBXO5 Antibody) at dilution of 1:50.
Quick Database Links
UniProt Details
−Documents Download
Request a Document
Protocol Information
FBXO5 Antibody (orb626981)
Participating in our Biorbyt product reviews program enables you to support fellow scientists by sharing your firsthand experience with our products.
Login to Submit a Review











