You have no items in your shopping cart.
FGF8 Antibody
Description
Images & Validation
−| Tested Applications | ELISA, IHC |
|---|---|
| Dilution range | IHC-P:1:20-200 |
| Reactivity | Human |
Key Properties
−| Host | Rabbit |
|---|---|
| Clonality | Polyclonal |
| Isotype | IgG |
| Immunogen | Recombinant Human Fibroblast growth factor 8 protein (23-143AA) |
| Target | FGF8 |
| Purification | >95%, Protein G purified |
| Conjugation | Unconjugated |
Storage & Handling
−| Storage | Maintain refrigerated at 2-8°C for up to 2 weeks. For long term storage store at -20°C in small aliquots to prevent freeze-thaw cycles. |
|---|---|
| Form/Appearance | Liquid |
| Buffer/Preservatives | Preservative: 0.03% Proclin 300. Constituents: 50% Glycerol |
| Disclaimer | For research use only |
Alternative Names
−Similar Products
−FGF8 Rabbit Polyclonal Antibody [orb10653]
IF, IHC-Fr, IHC-P
Bovine, Canine, Gallus, Porcine, Sheep
Human, Mouse, Rat
Rabbit
Polyclonal
Unconjugated
100 μl, 50 μl, 200 μlHuman Fibroblast Growth Factor 8, Androgen Induced (FGF8) ELISA Kit [orb778102]
Human
15.63-1000 pg/mL
6 pg/mL
48 T, 96 TMouse Fibroblast Growth Factor 8, Androgen Induced (FGF8) ELISA Kit [orb780660]
Mouse
15.63-1000 pg/mL
5.6 pg/mL
48 T, 96 TPhospho-CrkL (Tyr207) (G4) rabbit mAb Antibody [orb1946278]
FC, WB
Human, Mouse
Rabbit
Monoclonal
Unconjugated
200 μl, 20 μlFGF8 Rabbit Polyclonal Antibody [orb585559]
WB
Bovine, Canine, Equine, Guinea pig, Porcine, Rabbit, Rat, Sheep, Zebrafish
Human, Mouse
Rabbit
Polyclonal
Unconjugated
100 μl

Quality Guarantee
Explore bioreagents carefree to elevate your research. All our products are rigorously tested for performance. If a product does not perform as described on its datasheet, our scientific support team will provide expert troubleshooting, a prompt replacement, or a refund. For full details, please see our Terms & Conditions and Buying Guide. Contact us at support@biorbyt.com.

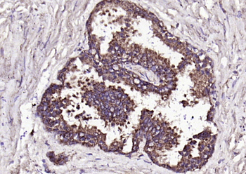
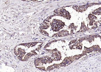
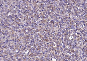
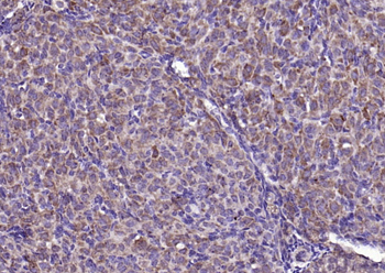
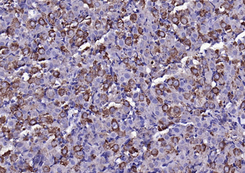
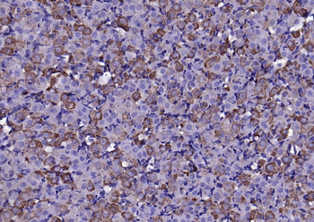
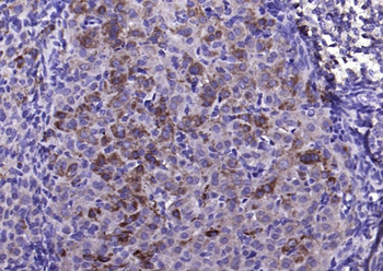
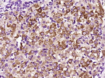
Immunohistochemical staining of human ovarian cancer using FGF8 antibody
Quick Database Links
UniProt Details
−Documents Download
Request a Document
Protocol Information
FGF8 Antibody (orb45846)
Participating in our Biorbyt product reviews program enables you to support fellow scientists by sharing your firsthand experience with our products.
Login to Submit a Review


















