You have no items in your shopping cart.
Description
Research Area
Images & Validation
−| Tested Applications | WB |
|---|---|
| Reactivity | Human, Mouse |
| Predicted Reactivity | Bovine, Canine, Equine, Guinea pig, Porcine, Rabbit, Rat, Sheep, Zebrafish |
Key Properties
−| Host | Rabbit |
|---|---|
| Clonality | Polyclonal |
| Target | FGF8 |
| Protein Sequence | Synthetic peptide located within the following region: EGWYMAFTRKGRPRKGSKTRQHQREVHFMKRLPRGHHTTEQSLRFEFLNY |
| Molecular Weight | 22kDa |
| Purification | Affinity Purified |
| Conjugation | Unconjugated |
Storage & Handling
−| Storage | Maintain refrigerated at 2-8°C for up to 2 weeks. For long term storage store at -20°C in small aliquots to prevent freeze-thaw cycles. |
|---|---|
| Buffer/Preservatives | Liquid. Purified antibody supplied in 1x PBS buffer with 0.09% (w/v) sodium azide and 2% sucrose. |
| Concentration | 0.5 mg/ml |
| Expiration Date | 12 months from date of receipt. |
| Disclaimer | For research use only |
Alternative Names
−Similar Products
−FGF8 Rabbit Polyclonal Antibody [orb10653]
IF, IHC-Fr, IHC-P
Bovine, Canine, Gallus, Porcine, Sheep
Human, Mouse, Rat
Rabbit
Polyclonal
Unconjugated
100 μl, 50 μl, 200 μlFGF8 Rabbit Polyclonal Antibody [orb585560]
WB
Bovine, Canine, Guinea pig, Rabbit, Rat, Zebrafish
Human, Mouse
Rabbit
Polyclonal
Unconjugated
100 μlFibroblast growth factor 8 FGF8 Rabbit Polyclonal Antibody [orb18123]
IHC, WB
Human, Mouse, Rat
Rabbit
Polyclonal
Unconjugated
100 μgFGF-8 rabbit pAb Antibody [orb767042]
ELISA, WB
Human, Mouse, Rat
Polyclonal
Unconjugated
50 μl, 100 μlFGF8 Rabbit Polyclonal Antibody [orb627022]
ELISA, IHC, WB
Human, Mouse, Rat
Rabbit
Polyclonal
Unconjugated
100 μg, 50 μg

Quality Guarantee
Explore bioreagents carefree to elevate your research. All our products are rigorously tested for performance. If a product does not perform as described on its datasheet, our scientific support team will provide expert troubleshooting, a prompt replacement, or a refund. For full details, please see our Terms & Conditions and Buying Guide. Contact us at support@biorbyt.com.

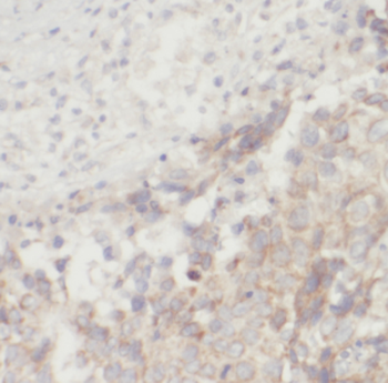
Sample Tissue: Mouse Pancreas, Antibody dilution: 1 ug/ml.

WB Suggested Anti-FGF8 Antibody, Titration: 1.0 ug/ml, Positive Control: Hela Whole Cell.
Documents Download
Request a Document
FGF8 Rabbit Polyclonal Antibody (orb585559)
Participating in our Biorbyt product reviews program enables you to support fellow scientists by sharing your firsthand experience with our products.
Login to Submit a Review















