You have no items in your shopping cart.
FKBP5 Antibody
Description
Images & Validation
−| Tested Applications | ELISA, IHC, IP, WB |
|---|---|
| Dilution range | WB: 1:500-1:2000; IP: 1:200-1:1000; IHC: 1:20-1:200 |
| Reactivity | Human, Mouse, Rat |
Key Properties
−| Antibody Type | Primary Antibody |
|---|---|
| Host | Rabbit |
| Clonality | Polyclonal |
| Isotype | IgG |
| Immunogen | FK506 binding protein 5 |
| Target | FKBP5 |
| Molecular Weight | 51 kDa |
| Purity | ≥95% as determined by SDS-PAGE |
| Purification | Immunogen affinity purified |
| Conjugation | Unconjugated |
Storage & Handling
−| Storage | Maintain refrigerated at 2-8°C for up to 2 weeks. For long term storage store at -20°C in small aliquots to prevent freeze-thaw cycles. |
|---|---|
| Form/Appearance | liquid |
| Disclaimer | For research use only |
Alternative Names
−Similar Products
−FKBP51 Recombinant Rabbit Monoclonal Antibody [orb612232]
FC, IF, IHC-Fr, IHC-P, WB
Rat
Human, Rat
Rabbit
Recombinant
Unconjugated
50 μl, 100 μlFKBP5 Rabbit Polyclonal Antibody [orb325933]
IHC, WB
Bovine, Canine, Equine, Guinea pig, Rabbit, Rat, Zebrafish
Human, Mouse
Rabbit
Polyclonal
Unconjugated
100 μlHuman FK506 Binding Protein 5 (FKBP5) ELISA Kit [orb777113]
Human
0.16-10 ng/mL
0.056 ng/mL
96 T, 48 TMouse FK506 Binding Protein 5 (FKBP5) ELISA Kit [orb781640]
Mouse
0.32-20 ng/mL
0.132 ng/mL
48 T, 96 T

Quality Guarantee
Explore bioreagents carefree to elevate your research. All our products are rigorously tested for performance. If a product does not perform as described on its datasheet, our scientific support team will provide expert troubleshooting, a prompt replacement, or a refund. For full details, please see our Terms & Conditions and Buying Guide. Contact us at support@biorbyt.com.

IP Result of anti-FKBP5 (IP: orb627063, 3 ug; Detection: orb627063 1:1000) with K-562 cells lysate 1500 ug.

K-562 cells were subjected to SDS PAGE followed by western blot with orb627063 (FKBP5 antibody) at dilution of 1:1000.

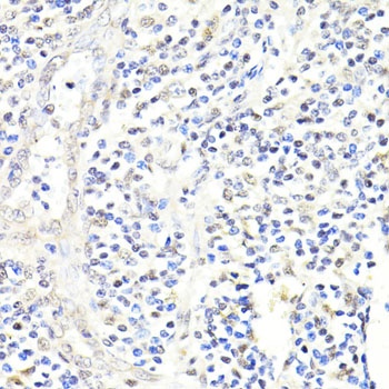
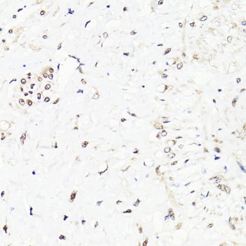
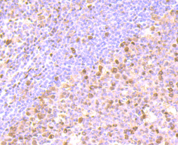
Immunohistochemistry of paraffin-embedded human colon cancer using orb627063 (FKBP5 antibody) at dilution of 1:50.
Quick Database Links
UniProt Details
−Documents Download
Request a Document
Protocol Information
FKBP5 Antibody (orb627063)
Participating in our Biorbyt product reviews program enables you to support fellow scientists by sharing your firsthand experience with our products.
Login to Submit a Review

















