You have no items in your shopping cart.
FLNB Antibody
Description
Images & Validation
−| Tested Applications | ELISA, IHC, WB |
|---|---|
| Dilution range | WB: 1:500 - 1:1000; IHC: 1:20 - 1:50 |
| Reactivity | Human, Mouse, Rat |
Key Properties
−| Antibody Type | Primary Antibody |
|---|---|
| Host | Rabbit |
| Clonality | Polyclonal |
| Isotype | IgG |
| Immunogen | filamin B, beta (actin binding protein 278) |
| Target | FLNB |
| Molecular Weight | 298 kDa |
| Purity | ≥95% as determined by SDS-PAGE |
| Purification | Immunogen affinity purified |
| Conjugation | Unconjugated |
Storage & Handling
−| Storage | Maintain refrigerated at 2-8°C for up to 2 weeks. For long term storage store at -20°C in small aliquots to prevent freeze-thaw cycles. |
|---|---|
| Form/Appearance | liquid |
| Disclaimer | For research use only |
Alternative Names
−Similar Products
−Filamin B/FLNB Antibody [orb865584]
ELISA, FC, ICC, IF, IHC, WB
Human, Mouse, Rat
Rabbit
Polyclonal
Unconjugated
100 μgFilamin B/FLNB Antibody (monoclonal, 11E2D2) [orb865673]
ICC, IF, IHC, WB
Human
Mouse
Monoclonal
Unconjugated
100 μgMigfilin-1 Antibody / FLNB / Filamin B / FBLIM1 [orb2634868]
IF, IHC-P, WB
Human
Mouse
Monoclonal
Unconjugated
100 μg

Quality Guarantee
Explore bioreagents carefree to elevate your research. All our products are rigorously tested for performance. If a product does not perform as described on its datasheet, our scientific support team will provide expert troubleshooting, a prompt replacement, or a refund. For full details, please see our Terms & Conditions and Buying Guide. Contact us at support@biorbyt.com.

HeLa cells were subjected to SDS PAGE followed by western blot with orb627079 (FLNB antibody) at dilution of 1:1000.

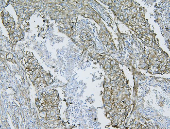
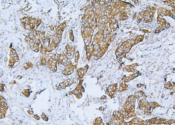
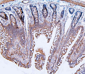
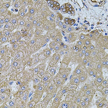
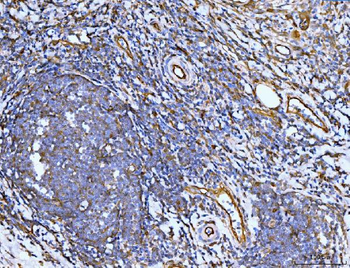
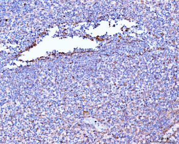
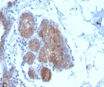
Immunohistochemistry of paraffin-embedded human liver injury using orb627079 (FLNB antibody) at dilution of 1:100.
Quick Database Links
UniProt Details
−Documents Download
Request a Document
Protocol Information
FLNB Antibody (orb627079)
Participating in our Biorbyt product reviews program enables you to support fellow scientists by sharing your firsthand experience with our products.
Login to Submit a Review



























