You have no items in your shopping cart.
Fractalkine rabbit pAb Antibody
Description
Images & Validation
−| Tested Applications | ELISA, IF, IHC, WB |
|---|---|
| Dilution Range | Western Blot: 1/500 - 1/2000. IHC-p: 1/100-1/300. ELISA: 1/20000. Not yet tested in other applications. |
| Reactivity | Human, Mouse, Rat |
Key Properties
−| Clonality | Polyclonal |
|---|---|
| Isotype | IgG |
| Immunogen | The antiserum was produced against synthesized peptide derived from the Internal region of human CX3CL1. AA range:231-280 |
| Molecular Weight | 42 |
| Purification | The antibody was affinity-purified from rabbit antiserum by affinity-chromatography using epitope-specific immunogen. |
| Conjugation | Unconjugated |
Storage & Handling
−| Storage | Maintain refrigerated at 2-8°C for up to 2 weeks. For long term storage store at -20°C in small aliquots to prevent freeze-thaw cycles. |
|---|---|
| Buffer/Preservatives | PBS with 0.02% sodium azide and 50% glycerol pH 7.4. |
| Concentration | 1 mg/ml |
| Expiration Date | 12 months from date of receipt. |
| Disclaimer | For research use only |
Alternative Names
−Similar Products
−Fractalkine Receptor rabbit pAb Antibody [orb766717]
ELISA, IF, IHC, WB
Human, Mouse, Rat
Polyclonal
Unconjugated
100 μlCX3CL1 Rabbit pAb, PE-Cy5.5 conjugated [orb2827304]
IF
Mouse, Rat
Human
Rabbit
Polyclonal
PE/Cy5.5
100 μlCX3CL1 Rabbit pAb, PerCP-Cy7 conjugated [orb2827305]
IF
Mouse, Rat
Human
Rabbit
Polyclonal
PerCP/Cy7
100 μl

Quality Guarantee
Explore bioreagents carefree to elevate your research. All our products are rigorously tested for performance. If a product does not perform as described on its datasheet, our scientific support team will provide expert troubleshooting, a prompt replacement, or a refund. For full details, please see our Terms & Conditions and Buying Guide. Contact us at support@biorbyt.com.

Western Blot analysis of K562 cells using Fractalkine Polyclonal Antibody. Secondary antibody was diluted at 1:20000.

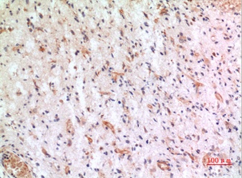
Immunohistochemical analysis of paraffin-embedded human-brain, antibody was diluted at 1:100.

Immunohistochemical analysis of paraffin-embedded human-brain, antibody was diluted at 1:100.

Immunohistochemical analysis of paraffin-embedded human-brain, antibody was diluted at 1:100.
Documents Download
Request a Document
Protocol Information
Fractalkine rabbit pAb Antibody (orb766959)
Participating in our Biorbyt product reviews program enables you to support fellow scientists by sharing your firsthand experience with our products.
Login to Submit a Review



