You have no items in your shopping cart.
FUS Rabbit Polyclonal Antibody
Description
Research Area
Images & Validation
−| Tested Applications | IHC, WB |
|---|---|
| Reactivity | Human, Mouse |
| Predicted Reactivity | Bovine, Canine, Porcine, Rabbit, Rat |
Key Properties
−| Host | Rabbit |
|---|---|
| Clonality | Polyclonal |
| Immunogen | The immunogen is a synthetic peptide directed towards the N terminal region of human FUS |
| Target | FUS |
| Protein Sequence | Synthetic peptide located within the following region: MASNDYTQQATQSYGAYPTQPGQGYSQQSSQPYGQQSYSGYSQSTDTSGY |
| Molecular Weight | 53 kDa |
| Purification | Affinity Purified |
| Conjugation | Unconjugated |
Storage & Handling
−| Storage | Maintain refrigerated at 2-8°C for up to 2 weeks. For long term storage store at -20°C in small aliquots to prevent freeze-thaw cycles. |
|---|---|
| Buffer/Preservatives | Liquid. Purified antibody supplied in 1x PBS buffer with 0.09% (w/v) sodium azide and 2% sucrose. |
| Concentration | 0.5 mg/ml |
| Expiration Date | 12 months from date of receipt. |
| Disclaimer | For research use only |
Alternative Names
−Similar Products
−TLS/FUS Rabbit Polyclonal Antibody [orb1097999]
FC, ICC, IF, IHC, WB
Human, Mouse, Rat
Rabbit
Polyclonal
Unconjugated
100 μgGATA6 Rabbit Polyclonal Antibody [orb865696]
ELISA, FC, ICC, IF, WB
Human
Rabbit
Polyclonal
Unconjugated
100 μgBUB1 Rabbit Polyclonal Antibody [orb865686]
ELISA, IHC, WB
Human, Mouse, Rat
Rabbit
Polyclonal
Unconjugated
100 μgATF1 Rabbit Polyclonal Antibody [orb10151]
FC, ICC, IF, IHC-Fr, IHC-P
Mouse, Rat
Human
Rabbit
Polyclonal
Unconjugated
50 μl, 100 μl, 200 μlETS transcription factor ERG Antibody [orb555897]
ICC, WB
Human, Mouse
Rabbit
Polyclonal
Unconjugated
100 μl

Quality Guarantee
Explore bioreagents carefree to elevate your research. All our products are rigorously tested for performance. If a product does not perform as described on its datasheet, our scientific support team will provide expert troubleshooting, a prompt replacement, or a refund. For full details, please see our Terms & Conditions and Buying Guide. Contact us at support@biorbyt.com.

25 ug of the indicated Human whole cell extracts was loaded onto a 12% SDS-PAGE gel. 3 ug/ml of the antibody was used in this experiment. 53 kDa protein has extensive modification of arginines and contains a SUMO2 site.

Sample Type: Lane 1: Human MCF-7 cell lysateK562, Lane 2: Human THP-1 cell lysate, Lane 3: Human Hela cell lysate, Antibody Dilution: 1.0 ug/ml.

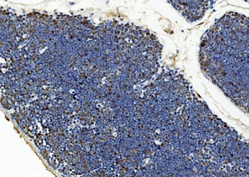
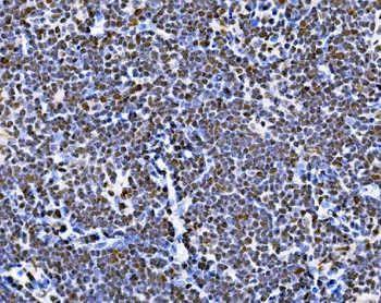
Rabbit Anti-FUS Antibody, Paraffin Embedded Tissue: Human alveolar cell, Cellular Data: Epithelial cells of renal tubule, Antibody Concentration: 4.0-8.0 ug/ml, Magnification: 400X.

Rabbit Anti-FUS Antibody, Paraffin Embedded Tissue: Human Breast, Antibody Concentration: 5 ug/ml.

Rabbit Anti-FUS Antibody, Paraffin Embedded Tissue: Human Intestine, Cellular Data: Epithelial cells of intestinal villas, Antibody Concentration: 4.0-8.0 ug/ml, Magnification: 400X.

WB Suggested Anti-FUS Antibody, Positive Control: Lane 1: 5 ug mouse brain cytoplasm, Lane 2: 5 ug mouse brain nucleus, Primary Antibody Dilution: 1:1000, Secondary Antibody: Anti rabbit-IR-dye, Secondry Antibody Dilution: 1:10000.

WB Suggested Anti-FUS Antibody Titration: 0.2-1 ug/ml, Positive Control: HepG2 cell lysate. FUS is strongly supported by BioGPS gene expression data to be expressed in Human HepG2 cells.
Quick Database Links
UniProt Details
−NCBI Reference Sequences
−| Protein | NP_001010850 |
|---|
Documents Download
Request a Document
Protocol Information
FUS Rabbit Polyclonal Antibody (orb577521)
Participating in our Biorbyt product reviews program enables you to support fellow scientists by sharing your firsthand experience with our products.
Login to Submit a Review




















