You have no items in your shopping cart.
G CSF Antibody
Description
Images & Validation
−| Tested Applications | WB |
|---|---|
| Dilution Range | WB 1:2000 |
| Reactivity | Human |
| Application Notes |
Key Properties
−| Antibody Type | Primary Antibody |
|---|---|
| Host | Mouse |
| Clonality | Monoclonal |
| Isotype | IgG1 |
| Clone No. | OTI1C7 |
| Immunogen | Full length human recombinant protein of human CSF3 (NP_757374) produced in HEK293T. |
| Target | G CSF |
| Molecular Weight | 21.4 kDa |
| Conjugation | Unconjugated |
Storage & Handling
−| Storage | Maintain refrigerated at 2-8°C for up to 2 weeks. For long term storage store at -20°C in small aliquots to prevent freeze-thaw cycles. |
|---|---|
| Expiration Date | 12 months from date of receipt. |
| Disclaimer | For research use only |
Similar Products
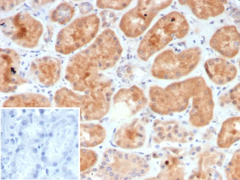
−CSF3 Antibody [orb2309612]
IHC
Human
Mouse
Monoclonal
Unconjugated
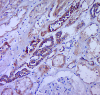
100 μg, 20 μg, 100 μg (without BSA and Azide)CSF3 Antibody [orb2309615]
IHC, WB
Human
Mouse
Monoclonal
Unconjugated
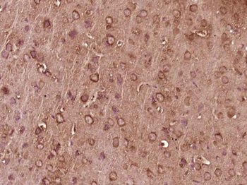
100 μg, 20 μg, 100 μg (without BSA and Azide)G-CSF/CSF3 Rabbit Polyclonal Antibody [orb10702]
IF, IHC-Fr, IHC-P
Bovine, Porcine, Rat, Sheep
Human, Mouse
Rabbit
Polyclonal
Unconjugated
100 μl, 50 μl, 200 μlRat Colony Stimulating Factor 3, Granulocyte (GCSF) ELISA Kit [orb776358]
Rat
7.82-500 pg/mL
2.8 pg/mL
96 T, 48 THuman Colony Stimulating Factor 3, Granulocyte (GCSF) ELISA Kit [orb774890]
Human
15.63-1000 pg/mL
5.4 pg/mL
96 T, 48 T

Quality Guarantee
Explore bioreagents carefree to elevate your research. All our products are rigorously tested for performance. If a product does not perform as described on its datasheet, our scientific support team will provide expert troubleshooting, a prompt replacement, or a refund. For full details, please see our Terms & Conditions and Buying Guide. Contact us at support@biorbyt.com.

Western blot analysis of HEK293T cells were transfected with the pCMV6-ENTRY control (Left lane) or pCMV6-ENTRY CSF3 ( Right lane) using G CSF (CSF3) antibody
Documents Download
Request a Document
G CSF Antibody (orb1327577)
Participating in our Biorbyt product reviews program enables you to support fellow scientists by sharing your firsthand experience with our products.
Login to Submit a Review











