You have no items in your shopping cart.
GABARAPL1 Rabbit Polyclonal Antibody
Description
Research Area
Images & Validation
−| Tested Applications | IHC, WB |
|---|---|
| Reactivity | Human |
| Predicted Reactivity | Bovine, Canine, Equine, Guinea pig, Mouse, Rabbit, Rat |
Key Properties
−| Host | Rabbit |
|---|---|
| Clonality | Polyclonal |
| Immunogen | The immunogen is a synthetic peptide directed towards the N terminal region of human GABARAPL1 |
| Target | GABARAPL1 |
| Protein Sequence | Synthetic peptide located within the following region: MKFQYKEDHPFEYRKKEGEKIRKKYPDRVPVIVEKAPKARVPDLDKRKYL |
| Molecular Weight | 14 kDa |
| Purification | Affinity Purified |
| Conjugation | Unconjugated |
Storage & Handling
−| Storage | Maintain refrigerated at 2-8°C for up to 2 weeks. For long term storage store at -20°C in small aliquots to prevent freeze-thaw cycles. |
|---|---|
| Buffer/Preservatives | Liquid. Purified antibody supplied in 1x PBS buffer with 0.09% (w/v) sodium azide and 2% sucrose. |
| Concentration | 0.5 mg/ml |
| Expiration Date | 12 months from date of receipt. |
| Disclaimer | For research use only |
Alternative Names
−Similar Products
−GABARAPL1 Rabbit Polyclonal Antibody [orb584157]
WB
Bovine, Canine, Equine, Guinea pig, Mouse, Porcine, Rabbit, Rat, Zebrafish
Human
Rabbit
Polyclonal
Unconjugated
100 μlGABARAPL1 Rabbit Polyclonal Antibody [orb582742]
IHC, WB
Bovine, Canine, Equine, Guinea pig, Mouse, Rabbit, Rat, Zebrafish
Human
Rabbit
Polyclonal
Unconjugated
100 μlGABARAPL1 Specific Rabbit Polyclonal Antibody [orb395064]
ELISA, IF, IHC, IP, WB
Human, Mouse, Rat
Rabbit
Polyclonal
Unconjugated
50 μg, 100 μgGABARAPL1 Rabbit Polyclonal Antibody [orb627177]
ELISA, IHC, WB
Human, Mouse, Rat
Rabbit
Polyclonal
Unconjugated
50 μg, 100 μgGABARAPL1 Rabbit Polyclonal Antibody [orb2389]
IF, IHC-Fr, IHC-P
Bovine, Canine, Human, Mouse, Porcine, Rabbit
Rat
Rabbit
Polyclonal
Unconjugated
100 μl, 200 μl, 50 μl

Quality Guarantee
Explore bioreagents carefree to elevate your research. All our products are rigorously tested for performance. If a product does not perform as described on its datasheet, our scientific support team will provide expert troubleshooting, a prompt replacement, or a refund. For full details, please see our Terms & Conditions and Buying Guide. Contact us at support@biorbyt.com.

25 ug of the indicated Human whole cell extracts was loaded onto a 10-20% SDS-PAGE gel. 1 ug/ml of the antibody was used in this experiment. Protein may be modified by lipidation.

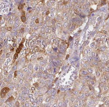
Anti-GABARAPL1 antibody IHC staining of human spleen. Immunohistochemistry of formalin-fixed, paraffin-embedded tissue after heat-induced antigen retrieval. Antibody concentration 5 ug/ml.

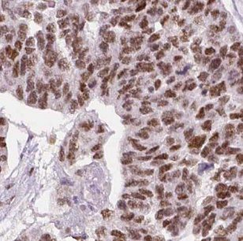
Sample Tissue: Human Ovary Tumor, Antibody dilution: 1 ug/ml.

Sample Type: Hela Whole Cell lysates, Antibody dilution: 1.0 ug/ml.

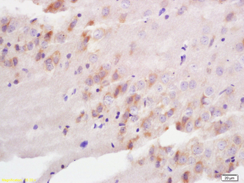
Immunohistochemistry with Human Brain lysate tissue at an antibody concentration of 5.0 ug/ml using anti-GABARAPL1 antibody (orb582741).

WB Suggested Anti-GABARAPL1 Antibody Titration: 1 ug/ml, Positive Control: 293T cells lysate. GABARAPL1 is strongly supported by BioGPS gene expression data to be expressed in Human HEK293T cells.
Documents Download
Request a Document
Protocol Information
GABARAPL1 Rabbit Polyclonal Antibody (orb582741)
Participating in our Biorbyt product reviews program enables you to support fellow scientists by sharing your firsthand experience with our products.
Login to Submit a Review











