You have no items in your shopping cart.
Recombinant Galectin 1 Antibody
Description
Research Area
Images & Validation
−| Tested Applications | ELISA, IHC-P, WB |
|---|---|
| Dilution Range | ELISA: 2-4ug/ml (order BSA/azide-free format),Immunohistochemistry (FFPE): 0.5-1ug/ml for 30 min at RT,Western blot: 1-2ug/ml |
| Reactivity | Human |
| Application Notes |
Key Properties
−| Antibody Type | Primary Antibody |
|---|---|
| Host | Rabbit |
| Clonality | Recombinant |
| Isotype | Rabbit IgG, kappa |
| Clone No. | GAL1/2499R |
| Immunogen | A human recombinant partial protein corresponding to amino acids 12-108 was used as the immunogen for the recombinant Galectin 1 antibody. |
| Purification | Protein G affinity chromatography |
| Conjugation | Unconjugated |
Storage & Handling
−| Storage | Maintain refrigerated at 2-8°C for up to 2 weeks. For long term storage store at -20°C in small aliquots to prevent freeze-thaw cycles. |
|---|---|
| Buffer/Preservatives | 0.2 mg/ml in 1X PBS with 0.1 mg/ml rAlbumin and 0.05% sodium azide |
| Expiration Date | 12 months from date of receipt. |
| Disclaimer | For research use only |
Similar Products
−LGALS9 Antibody [orb240262]
ELISA, IF, IHC, WB
Human, Mouse
Rabbit
Polyclonal
Unconjugated
50 μg, 100 μgLGALS1 Antibody [orb352065]
ELISA, IF, IHC, WB
Human, Mouse
Rabbit
Polyclonal
Unconjugated
50 μg, 100 μgRecombinant Galectin 1 Antibody [orb2642184]
ELISA, IHC-P, WB
Human
Rabbit
Recombinant
Unconjugated
100 μg

Quality Guarantee
Explore bioreagents carefree to elevate your research. All our products are rigorously tested for performance. If a product does not perform as described on its datasheet, our scientific support team will provide expert troubleshooting, a prompt replacement, or a refund. For full details, please see our Terms & Conditions and Buying Guide. Contact us at support@biorbyt.com.

Western blot testing of human HeLa cell lysate with recombinant Galectin 1 antibody (clone GAL1/2499R). Expected molecular weight ~14 kDa.

Western blot testing of human 1) JEG-3 and 2) K562 cell lysate with recombinant Galectin 1 antibody (clone GAL1/2499R). Expected molecular weight ~14 kDa.

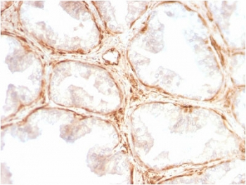
IHC testing of FFPE human prostate carcinoma with recombinant Galectin 1 antibody (clone GAL1/2499R). Required HIER: boil tissue sections in 10 mM citrate buffer, pH6, for 10-20 min and allowed to cool before testing.

Analysis of HuProt (TM) microarray containing more than 19000 full-length human proteins using recombinant Galectin 1 antibody (clone GAL1/2499R). These results demonstrate the foremost specificity of the GAL1/2499R mAb. Z- and S- score: The Z-score represents the strength of a signal that an antibody (in combination with a fluorescently-tagged anti-IgG secondary Ab) produces when binding to a particular protein on the HuProt (TM) array. Z-scores are described in units of standard deviations (SD's) above the mean value of all signals generated on that array. If the targets on the HuProt (TM) are arranged in descending order of the Z-score, the S-score is the difference (also in units of SD's) between the Z-scores. The S-score therefore represents the relative target specificity of an Ab to its intended target.

SDS-PAGE analysis of purified, BSA-free recombinant Galectin 1 antibody (clone GAL1/2499R) as confirmation of integrity and purity.
Quick Database Links
UniProt Details
−Documents Download
Request a Document
Protocol Information
Recombinant Galectin 1 Antibody (orb606808)
Participating in our Biorbyt product reviews program enables you to support fellow scientists by sharing your firsthand experience with our products.
Login to Submit a Review

















