You have no items in your shopping cart.
GALNS antibody
Description
Research Area
Images & Validation
−| Tested Applications | ICC, IHC-P, WB |
|---|---|
| Dilution Range | WB: 1:500-1:3000 , IF: 1:100-1:1000 , IHC-P: 1:100-1:1000 |
| Reactivity | Human, Mouse, Rat |
| Application Notes |
Key Properties
−| Antibody Type | Primary Antibody |
|---|---|
| Host | Rabbit |
| Clonality | Polyclonal |
| Isotype | IgG |
| Immunogen | Recombinant protein encompassing a sequence within the center region of human GALNS. The exact sequence is proprietary. |
| Target | GALNS |
| Molecular Weight | 58 |
| Purity | Purified by antigen-affinity chromatography. |
| Purification | Purified by antigen-affinity chromatography. |
| Conjugation | Unconjugated |
Storage & Handling
−| Storage | Store as concentrated solution. Centrifuge briefly prior to opening vial. For short-term storage (1-2 weeks), store at 4°C. For long-term storage, aliquot and store at -20°lC or below. Avoid multiple freeze-thaw cycles. |
|---|---|
| Form/Appearance | Liquid: 0.1M Tris, 0.1M Glycine, 10% Glycerol (pH7). 0.01% Thimerosal was added as a preservative. |
| Buffer/Preservatives | 0.01% Thimerosal. 0.1M Tris-Glycine (pH7), 10% Glycerol |
| Concentration | 1 mg/ml |
| Expiration Date | 12 months from date of receipt. |
| Disclaimer | For research use only |
Alternative Names
−Similar Products
−GALNS Rabbit Polyclonal Antibody [orb402515]
ELISA, IHC, WB
Human, Mouse, Rat
Rabbit
Polyclonal
Unconjugated
100 μgGALNS Antibody [orb1270057]
FC, IF, IHC-P, WB
Mouse, Porcine, Rat
Human
Rabbit
Polyclonal
Unconjugated
400 μlGALNS Antibody [orb627219]
ELISA, IHC, WB
Human, Mouse, Rat
Rabbit
Polyclonal
Unconjugated
50 μg, 100 μg

Quality Guarantee
Explore bioreagents carefree to elevate your research. All our products are rigorously tested for performance. If a product does not perform as described on its datasheet, our scientific support team will provide expert troubleshooting, a prompt replacement, or a refund. For full details, please see our Terms & Conditions and Buying Guide. Contact us at support@biorbyt.com.

Immunofluorescence analysis of HeLa cells using GALNS antibody

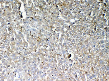
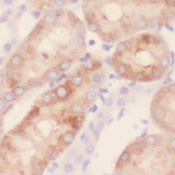
Immunohistochemical staining of NCI-N87 xenograft using GALNS antibody

Western blot analysis of PC-12 whole cell lysate(Lane 1), Rat2 whole cell lysate(Lane 2) using GALNS antibody

Western blot analysis of Neuro2A whole cell lysate(Lane 1), C2C12 whole cell lysate(Lane 2) using GALNS antibody

Western blot analysis of H1299 cells using GALNS antibody
Quick Database Links
UniProt Details
−Documents Download
Request a Document
Protocol Information
GALNS antibody (orb556679)
Participating in our Biorbyt product reviews program enables you to support fellow scientists by sharing your firsthand experience with our products.
Login to Submit a Review















