You have no items in your shopping cart.
Recombinant GATA Binding Protein 3 Antibody / GATA-3
Description
Images & Validation
−| Tested Applications | IHC-P, WB |
|---|---|
| Dilution Range | Western blot: 1-2ug/ml,Immunohistochemistry (FFPE): 1-2ug/ml |
| Reactivity | Human |
| Application Notes |
Key Properties
−| Antibody Type | Primary Antibody |
|---|---|
| Host | Mouse |
| Clonality | Recombinant |
| Isotype | Mouse IgG1, kappa |
| Clone No. | rGATA3/3870 |
| Immunogen | Recombinant full-length human protein was used as the immunogen for the recombinant GATA Binding Protein 3 antibody. |
| Purification | Protein A/G affinity |
| Conjugation | Unconjugated |
Storage & Handling
−| Storage | Maintain refrigerated at 2-8°C for up to 2 weeks. For long term storage store at -20°C in small aliquots to prevent freeze-thaw cycles. |
|---|---|
| Buffer/Preservatives | 0.2 mg/ml in 1X PBS with 0.1 mg/ml rAlbumin, 0.05% sodium azide |
| Expiration Date | 12 months from date of receipt. |
| Disclaimer | For research use only |
Similar Products
−Recombinant GATA Binding Protein 3 Antibody / GATA-3 [orb1716253]
IHC-P, WB
Human
Mouse
Recombinant
Unconjugated
100 μg

Quality Guarantee
Explore bioreagents carefree to elevate your research. All our products are rigorously tested for performance. If a product does not perform as described on its datasheet, our scientific support team will provide expert troubleshooting, a prompt replacement, or a refund. For full details, please see our Terms & Conditions and Buying Guide. Contact us at support@biorbyt.com.

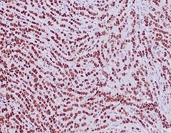
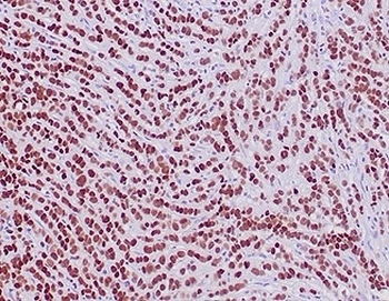
IHC staining of FFPE human urothelial carcinoma tissue with recombinant GATA Binding Protein 3 antibody (clone rGATA3/3870). HIER: boil tissue sections in pH9 10mM Tris with 1mM EDTA for 20 min and allow to cool before testing.

IHC staining of FFPE human lobular breast carcinoma tissue with recombinant GATA Binding Protein 3 antibody (clone rGATA3/3870). HIER: boil tissue sections in pH9 10mM Tris with 1mM EDTA for 20 min and allow to cool before testing.

Western blot testing of human MCF-7 cell lysate using recombinant GATA Binding Protein 3 antibody (clone rGATA3/3870). Observed molecular weight: ~50 kDa (full length), ~37 kDa (splice form).
Quick Database Links
UniProt Details
−Documents Download
Request a Document
Protocol Information
Recombinant GATA Binding Protein 3 Antibody / GATA-3 (orb1716254)
Participating in our Biorbyt product reviews program enables you to support fellow scientists by sharing your firsthand experience with our products.
Login to Submit a Review

