You have no items in your shopping cart.
GDF2 Antibody
SKU: orb355019
Description
Research Area
Signal Transduction
Images & Validation
−Item 1 of 1
| Tested Applications | ELISA, IHC |
|---|---|
| Dilution Range | IHC-P:1:20-1:200 |
| Reactivity | Human |
Key Properties
−| Host | Rabbit |
|---|---|
| Clonality | Polyclonal |
| Isotype | IgG |
| Immunogen | Recombinant Human Growth/differentiation factor 2 protein (300-429AA) |
| Target | GDF2 |
| Purification | >95%, Protein G purified |
| Conjugation | Unconjugated |
Storage & Handling
−| Storage | Maintain refrigerated at 2-8°C for up to 2 weeks. For long term storage store at -20°C in small aliquots to prevent freeze-thaw cycles. |
|---|---|
| Form/Appearance | Liquid |
| Buffer/Preservatives | Preservative: 0.03% Proclin 300. Constituents: 50% Glycerol |
| Expiration Date | 12 months from date of receipt. |
| Disclaimer | For research use only |
Alternative Names
−anti-Growth/differentiation factor 2 antibody, anti-GDF-2 antibody, anti-GDF2 antibody, anti-BMP9 antibody, anti-Bone morphogenetic protein 9 antibody, anti-BMP-9 antibody
Similar Products
−Human Growth Differentiation Factor 2 (GDF2) ELISA Kit [orb776026]
Human
62.5-4000 pg/mL
25.4 pg/mL
96 T, 48 TMouse Growth Differentiation Factor 2 (GDF2) ELISA Kit [orb777570]
Mouse
78.13-5000 pg/mL
27 pg/mL
48 T, 96 TRat Growth Differentiation Factor 2 (GDF2) ELISA Kit [orb780507]
Rat
0.16-10 ng/mL
0.06 ng/mL
96 T, 48 TBMP9 (GDF2) Antibody (N-term) [orb1931742]
IHC-P, WB
Human, Mouse
Rabbit
Polyclonal
Unconjugated
100 μl, 50 μl

Quality Guarantee
Explore bioreagents carefree to elevate your research. All our products are rigorously tested for performance. If a product does not perform as described on its datasheet, our scientific support team will provide expert troubleshooting, a prompt replacement, or a refund. For full details, please see our Terms & Conditions and Buying Guide. Contact us at support@biorbyt.com.

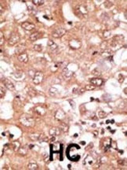
Immunohistochemical staining of human liver cancer using GDF2 antibody
Quick Database Links
Gene Symbol
GDF2
UniProt
UniProt Details
− No UniProt data available
Documents Download
Datasheet
Product Information
Request a Document
Protocol Information
IHC
Immunohistochemistry
ELISA
Enzyme-linked Immunosorbent Assay (EIA)
GDF2 Antibody (orb355019)
Based on 0 reviews
Participating in our Biorbyt product reviews program enables you to support fellow scientists by sharing your firsthand experience with our products.
Login to Submit a Review







