You have no items in your shopping cart.
Girdin Rabbit Polyclonal Antibody
SKU: orb4448
Description
Research Area
Neuroscience, Signal Transduction
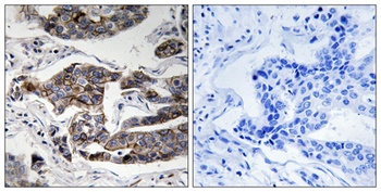
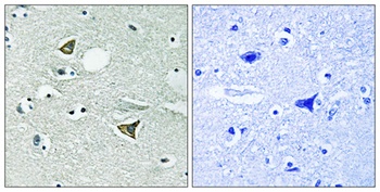
Images & Validation
−
| Tested Applications | ELISA, ICC, IF, IHC-Fr, IHC-P, WB |
|---|---|
| Dilution range | WB=1:500-2000, IHC-P=1:100-500, IHC-F=1:100-500, ICC/IF=1:100-500, IF=1:100-500, ELISA=1:5000-10000 |
| Reactivity | Human |
| Predicted Reactivity | Canine, Equine, Human, Mouse, Rabbit, Rat |
Related Conjugates & Formulations
−Key Properties
−| Antibody Type | Primary Antibody |
|---|---|
| Host | Rabbit |
| Clonality | Polyclonal |
| Isotype | IgG |
| Immunogen | KLH conjugated synthetic peptide derived from human APE/Girdin (1401-1500/1870aa) |
| Target | CCDC88A |
| Molecular Weight | 206 kDa |
| Purification | Affinity purified by Protein A |
| Conjugation | Unconjugated |
Storage & Handling
−| Storage | Maintain refrigerated at 2-8°C for up to 2 weeks. For long term storage store at -20°C in small aliquots to prevent freeze-thaw cycles. |
|---|---|
| Form/Appearance | Liquid |
| Buffer/Preservatives | 0.01M TBS (pH7.4) with 1% rAlbumin, 0.02% Proclin300 and 50% Glycerol. |
| Concentration | 1mg/ml |
| Disclaimer | For research use only |
Alternative Names
−GRDN_HUMAN; CCDC88A; APE; GRDN; KIAA1212; Akt phosphorylation enhancer(APE); Coiled-coil domain-containing protein 88A; G alpha-interacting vesicle-associated protein(GIV); Girders of actin filament; Hook-related protein 1(HkRP1);
Similar Products
−Girdin (phospho Ser1417) rabbit pAb Antibody [orb769623]
ELISA, IF, IHC
Human, Mouse
Polyclonal
Unconjugated
100 μl, 50 μlGirdin rabbit pAb Antibody [orb769624]
ELISA, IF, IHC
Human, Mouse
Polyclonal
Unconjugated
100 μl, 50 μlPhospho-Girdin (Ser1417) Rabbit Polyclonal Antibody [orb1726]
FC, WB
Bovine, Canine, Equine, Mouse, Porcine, Rat
Human
Rabbit
Polyclonal
Unconjugated
50 μl, 200 μl, 100 μl

Quality Guarantee
Explore bioreagents carefree to elevate your research. All our products are rigorously tested for performance. If a product does not perform as described on its datasheet, our scientific support team will provide expert troubleshooting, a prompt replacement, or a refund. For full details, please see our Terms & Conditions and Buying Guide. Contact us at support@biorbyt.com.
Quick Database Links
Gene Symbol
CCDC88A
UniProt
UniProt Details
− No UniProt data available
Documents Download
Datasheet
Product Information
Request a Document
Protocol Information
WB
Western Blot (IB, immunoblot)
IHC-P
Immunohistochemistry Paraffin
IHC-Fr
Immunohistochemistry Frozen
IF
Immunofluorescence
ICC
Immunocytochemistry
ELISA
Enzyme-linked Immunosorbent Assay (EIA)
Girdin Rabbit Polyclonal Antibody (orb4448)
Based on 0 reviews
Participating in our Biorbyt product reviews program enables you to support fellow scientists by sharing your firsthand experience with our products.
Login to Submit a Review






