You have no items in your shopping cart.
UBC3B Antibody
Description
Images & Validation
−| Tested Applications | ELISA, IEM, IHC |
|---|---|
| Dilution Range | ELISA: 1:4000, WB: 1 μg/ml, IHC-P: 2-4µg/ml |
| Reactivity | Human, Rat |
| Predicted Reactivity | Mouse |
| Application Notes |
Key Properties
−| Host | Goat |
|---|---|
| Clonality | Polyclonal |
| Target | UBC3B |
| Protein Sequence | AQQQMTSSQKALM |
| Molecular Weight | 27 |
| Purification | Purified from goat serum by ammonium sulphate precipitation followed by antigen affinity chromatography using the immunizing peptide. |
| Conjugation | Unconjugated |
Storage & Handling
−| Storage | Maintain refrigerated at 2-8°C for up to 2 weeks. For long term storage store at -20°C in small aliquots to prevent freeze-thaw cycles. |
|---|---|
| Buffer/Preservatives | Supplied at 0.5 mg/ml in Tris saline, 0.02% sodium azide, pH 7.3 with 0.5% bovine serum albumin. Aliquot and store at -20°C. Minimize freezing and thawing. |
| Expiration Date | 12 months from date of receipt. |
| Disclaimer | For research use only |
Alternative Names
−Similar Products
−UBE2R2 Antibody (Center) [orb1932124]
WB
Mouse, Rabbit
Human
Rabbit
Polyclonal
Unconjugated
100 μl, 50 μlCDC34B Rabbit Polyclonal Antibody [orb382107]
IF, WB
Human, Mouse, Rat
Rabbit
Polyclonal
Unconjugated
50 μl, 100 μl, 200 μl, 30 μlUBE2R2 Polyclonal Antibody [orb3150383]
ELISA, IHC, WB
Human, Mouse, Rabbit
Rabbit
Polyclonal
Unconjugated
50 μg, 100 μg

Quality Guarantee
Explore bioreagents carefree to elevate your research. All our products are rigorously tested for performance. If a product does not perform as described on its datasheet, our scientific support team will provide expert troubleshooting, a prompt replacement, or a refund. For full details, please see our Terms & Conditions and Buying Guide. Contact us at support@biorbyt.com.

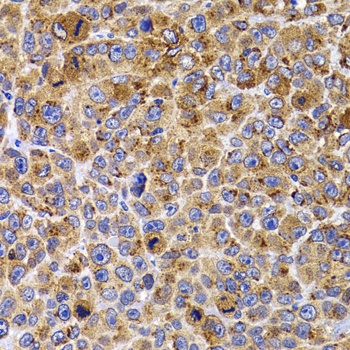
Immunohistochemical staining of Human Testis using UBE2R2 antibody
Documents Download
Request a Document
Protocol Information
UBC3B Antibody (orb125001)
Participating in our Biorbyt product reviews program enables you to support fellow scientists by sharing your firsthand experience with our products.
Login to Submit a Review





