You have no items in your shopping cart.
golgi membrane protein 1 Antibody
Description
Research Area
Images & Validation
−| Tested Applications | ICC, IHC-P, WB |
|---|---|
| Dilution Range | WB: 1:500-1:3000 , IF: 1:100-1:5000 , IHC-P: 1:100-1:1000 |
| Reactivity | Human |
| Application Notes |
Key Properties
−| Antibody Type | Primary Antibody |
|---|---|
| Host | Rabbit |
| Clonality | Polyclonal |
| Isotype | IgG |
| Immunogen | Carrier-protein conjugated synthetic peptide encompassing a sequence within the C-terminus region of human GOLPH2. The exact sequence is proprietary. |
| Target | GP73 |
| Molecular Weight | 45 |
| Purity | Purified by antigen-affinity chromatography. |
| Purification | Purified by antigen-affinity chromatography. |
| Conjugation | Unconjugated |
Storage & Handling
−| Storage | Store as concentrated solution. Centrifuge briefly prior to opening vial. For short-term storage (1-2 weeks), store at 4°C. For long-term storage, aliquot and store at -20°lC or below. Avoid multiple freeze-thaw cycles. |
|---|---|
| Form/Appearance | Liquid: 1XPBS, 20% Glycerol (pH7). 0.01% Thimerosal was added as a preservative. |
| Buffer/Preservatives | PBS, 20% Glycerol, 0.01% Thimerosal. |
| Concentration | 1 mg/ml |
| Expiration Date | 12 months from date of receipt. |
| Disclaimer | For research use only |
Alternative Names
−Similar Products
−Giantin Rabbit Polyclonal Antibody [orb157139]
FC, IF, IHC-Fr, IHC-P
Canine, Equine, Hamster, Monkey, Mouse, Rabbit
Human, Rat
Rabbit
Polyclonal
Unconjugated
50 μl, 100 μl, 200 μlGOLPH2 Rabbit Polyclonal Antibody [orb4434]
FC
Bovine, Canine, Equine, Mouse, Rat
Human
Rabbit
Polyclonal
Unconjugated
50 μl, 100 μl, 200 μlSERINC3 Rabbit Polyclonal Antibody [orb745967]
ELISA, FC, ICC, IF, WB
Mouse, Rat
Rabbit
Polyclonal
Unconjugated
100 μg

Quality Guarantee
Explore bioreagents carefree to elevate your research. All our products are rigorously tested for performance. If a product does not perform as described on its datasheet, our scientific support team will provide expert troubleshooting, a prompt replacement, or a refund. For full details, please see our Terms & Conditions and Buying Guide. Contact us at support@biorbyt.com.

Immunofluorescence analysis of HeLa cells using GP73 antibody

Immunofluorescence analysis of HeLa cells using GP73 antibody

Immunofluorescence analysis of HCT116 cells using GP73 antibody

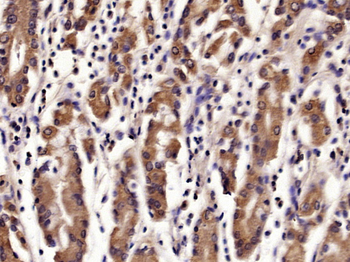
Immunohistochemical staining of human colon carcinoma using GP73 antibody

Immunohistochemical staining of human endometrial carcinoma using GP73 antibody

Immunohistochemical staining of human ovarian cancer using GP73 antibody

Immunohistochemical staining of human colon using GP73 antibody

Western blot analysis of Whole cell extract using GP73 antibody

Western blot analysis of HeLa cells using CDC37L1 antibody
Quick Database Links
UniProt Details
−Documents Download
Request a Document
Protocol Information
golgi membrane protein 1 Antibody (orb556440)
Participating in our Biorbyt product reviews program enables you to support fellow scientists by sharing your firsthand experience with our products.
Login to Submit a Review























