You have no items in your shopping cart.
GSC Rabbit Polyclonal Antibody
Description
Research Area
Images & Validation
−| Tested Applications | IHC, WB |
|---|---|
| Reactivity | Human |
| Predicted Reactivity | Bovine, Canine, Mouse, Porcine, Rat |
Key Properties
−| Host | Rabbit |
|---|---|
| Clonality | Polyclonal |
| Immunogen | The immunogen is a synthetic peptide directed towards the N terminal region of human GSC |
| Target | GSC |
| Protein Sequence | Synthetic peptide located within the following region: FPALHGDSLYGASGGASSDYGAFYPRPVAPGGAGLPAAVSGSRLGYNNYF |
| Molecular Weight | 28kDa |
| Purification | Affinity Purified |
| Conjugation | Unconjugated |
Storage & Handling
−| Storage | Maintain refrigerated at 2-8°C for up to 2 weeks. For long term storage store at -20°C in small aliquots to prevent freeze-thaw cycles. |
|---|---|
| Buffer/Preservatives | Liquid. Purified antibody supplied in 1x PBS buffer with 0.09% (w/v) sodium azide and 2% sucrose. |
| Concentration | 0.5 mg/ml |
| Expiration Date | 12 months from date of receipt. |
| Disclaimer | For research use only |
Alternative Names
−Similar Products
−GCLM Rabbit Polyclonal Antibody [orb500046]
WB
Bovine, Canine, Equine, Porcine, Rabbit, Rat, Sheep
Human, Mouse
Rabbit
Polyclonal
Unconjugated
50 μl, 100 μl, 200 μlGSC Rabbit Polyclonal Antibody [orb157396]
IF, IHC-Fr, IHC-P
Bovine, Canine, Gallus, Human, Mouse, Porcine, Rabbit, Sheep, Zebrafish
Rat
Rabbit
Polyclonal
Unconjugated
50 μl, 100 μl, 200 μl

Quality Guarantee
Explore bioreagents carefree to elevate your research. All our products are rigorously tested for performance. If a product does not perform as described on its datasheet, our scientific support team will provide expert troubleshooting, a prompt replacement, or a refund. For full details, please see our Terms & Conditions and Buying Guide. Contact us at support@biorbyt.com.

Sample Tissue: Human 786-0 Whole Cell, Antibody dilution: 1 ug/ml.

Sample Tissue: Human DLD1, Antibody dilution: 1.0 ug/ml.

Sample Type: 786-0 Whole Cell lysates, Antibody dilution: 0.25 ug/ml.

Sample Type: 786-0 Whole Cell lysates, Antibody dilution: 0.25 ug/ml.

Sample Type: 786-0 Whole Cell lysates, Antibody dilution: 10 ug/ml.

Positive control (+): MCF7 Cell Lysate (N10), Negative control (-): Human Kidney (KI), Antibody concentration: 3 ug/ml.

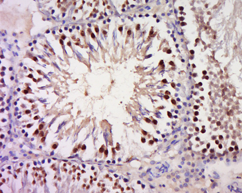
Immunohistochemistry with Human Testis lysate tissue at an antibody concentration of 5.0 ug/ml using anti-GSC antibody (orb574075).

Immunohistochemistry with Human Tonsil lysate tissue at an antibody concentration of 5.0 ug/ml using anti-GSC antibody (orb574075).
Documents Download
Request a Document
Protocol Information
GSC Rabbit Polyclonal Antibody (orb574075)
Participating in our Biorbyt product reviews program enables you to support fellow scientists by sharing your firsthand experience with our products.
Login to Submit a Review







