You have no items in your shopping cart.
GYS1 Antibody
Description
Research Area
Images & Validation
−| Tested Applications | ELISA, IHC, WB |
|---|---|
| Dilution Range | ELISA:1:1000-1:2000, WB:1:200-1:1000, IHC-P:1:50-1:200 |
| Reactivity | Human, Mouse, Rat |
Key Properties
−| Host | Rabbit |
|---|---|
| Clonality | Polyclonal |
| Isotype | IgG |
| Immunogen | Fusion protein of Human GYS1 |
| Target | GYS1 |
| Purification | Antigen Affinity Purified |
| Conjugation | Unconjugated |
Storage & Handling
−| Storage | Maintain refrigerated at 2-8°C for up to 2 weeks. For long term storage store at -20°C in small aliquots to prevent freeze-thaw cycles. |
|---|---|
| Form/Appearance | Liquid |
| Buffer/Preservatives | -20°C, pH7.4 PBS, 0.05% NaN3, 40% Glycerol |
| Expiration Date | 12 months from date of receipt. |
| Disclaimer | For research use only |
Alternative Names
−Similar Products
−Phospho-Glycogen synthase 1 (Ser641) Recombinant Rabbit Monoclonal Antibody [orb559107]
ICC, IF, IHC-Fr, IHC-P, WB
Mouse, Rat
Human, Mouse, Rat
Rabbit
Recombinant
Unconjugated
50 μl, 100 μlGlycogen synthase 1/GYS1 Rabbit Polyclonal Antibody [orb865404]
ELISA, FC, ICC, IF, IHC, WB
Human, Mouse, Rat
Rabbit
Polyclonal
Unconjugated
100 μgGlycogen Synthase 1 (phospho Ser645) rabbit pAb Antibody [orb768577]
ELISA, IF, IHC, WB
Human, Mouse, Rat
Polyclonal
Unconjugated
50 μl, 100 μlGSK3 beta Rabbit mAb [KD Validated] Antibody [orb1951989]
FC, ICC, IHC, WB
Human, Mouse
Rabbit
Monoclonal
Unconjugated
100 μl, 50 μl

Quality Guarantee
Explore bioreagents carefree to elevate your research. All our products are rigorously tested for performance. If a product does not perform as described on its datasheet, our scientific support team will provide expert troubleshooting, a prompt replacement, or a refund. For full details, please see our Terms & Conditions and Buying Guide. Contact us at support@biorbyt.com.

Immunohistochemistry of paraffin-embedded Human brain tissue using GYS1 antibody

Western blot aanalysis of 293T cellsusing GYS1 antibody

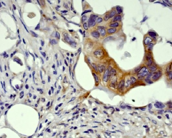
Immunohistochemistry of paraffin-embedded Human thyroid cancer tissue using GYS1 antibody
Quick Database Links
UniProt Details
−Documents Download
Request a Document
Protocol Information
GYS1 Antibody (orb520934)
Participating in our Biorbyt product reviews program enables you to support fellow scientists by sharing your firsthand experience with our products.
Login to Submit a Review

























![GSK3 beta Rabbit mAb [KD Validated] Antibody](/images/pub/media/catalog/product/NewWebsite/18/orb1951989_1.png)
![GSK3 beta Rabbit mAb [KD Validated] Antibody](/images/pub/media/catalog/product/NewWebsite/18/orb1951989_2.png)
![GSK3 beta Rabbit mAb [KD Validated] Antibody](/images/pub/media/catalog/product/NewWebsite/18/orb1951989_3.png)
![GSK3 beta Rabbit mAb [KD Validated] Antibody](/images/pub/media/catalog/product/NewWebsite/18/orb1951989_4.png)