You have no items in your shopping cart.
HDAC1 Rabbit Polyclonal Antibody
Description
Research Area
Images & Validation
−| Tested Applications | IHC, WB |
|---|---|
| Reactivity | Human |
| Predicted Reactivity | Bovine, Canine, Equine, Guinea pig, Mouse, Rabbit, Rat, Yeast, Zebrafish |
Key Properties
−| Host | Rabbit |
|---|---|
| Clonality | Polyclonal |
| Immunogen | The immunogen is a synthetic peptide directed towards the middle region of human HDAC1 |
| Target | HDAC1 |
| Protein Sequence | Synthetic peptide located within the following region: EKIKQRLFENLRMLPHAPGVQMQAIPEDAIPEESGDEDEDDPDKRISICS |
| Molecular Weight | 55kDa |
| Purification | Affinity Purified |
| Conjugation | Unconjugated |
Storage & Handling
−| Storage | Maintain refrigerated at 2-8°C for up to 2 weeks. For long term storage store at -20°C in small aliquots to prevent freeze-thaw cycles. |
|---|---|
| Buffer/Preservatives | Liquid. Purified antibody supplied in 1x PBS buffer with 0.09% (w/v) sodium azide and 2% sucrose. |
| Concentration | 0.5 mg/ml |
| Expiration Date | 12 months from date of receipt. |
| Disclaimer | For research use only |
Alternative Names
−Similar Products
−HDAC1 Rabbit Polyclonal Antibody [orb10812]
FC, IF, IHC-Fr, IHC-P, WB
Bovine, Canine, Guinea pig, Porcine, Rat, Sheep
Human, Mouse
Rabbit
Polyclonal
Unconjugated
50 μl, 100 μl, 200 μlHDAC1 rabbit pAb Antibody [orb765373]
ELISA, IF, IHC, WB
Human, Mouse, Rat
Polyclonal
Unconjugated
100 μl, 50 μlHistone deacetylase 1 rabbit pAb Antibody [orb765393]
ELISA, IF, IHC, WB
Human, Mouse, Rat
Polyclonal
Unconjugated
50 μl, 100 μlHDAC1 (phospho Ser421) rabbit pAb Antibody [orb768604]
ELISA, IF, IHC, WB
Human, Mouse, Rat
Polyclonal
Unconjugated
100 μl, 50 μl

Quality Guarantee
Explore bioreagents carefree to elevate your research. All our products are rigorously tested for performance. If a product does not perform as described on its datasheet, our scientific support team will provide expert troubleshooting, a prompt replacement, or a refund. For full details, please see our Terms & Conditions and Buying Guide. Contact us at support@biorbyt.com.

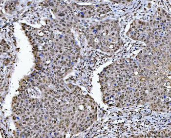
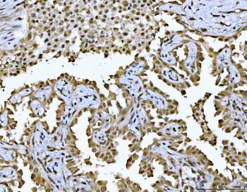
Sample Type: Human Adult Placenta, Antibody dilution: 1.0 ug/ml.

Sample Type: Human Fetal Heart, Antibody dilution: 1.0 ug/ml.

Sample Type: Human Fetal Liver, Antibody dilution: 1.0 ug/ml.

Sample Type: Human Fetal Lung, Antibody dilution: 1.0 ug/ml.

Rabbit Anti-HDAC1 antibody, Catalog Number: orb574159, Paraffin Embedded Tissue: Human Heart cell, Cellular Data: Epithelial cells of renal tubule, Antibody Concentration: 4.0-8.0 ug/ml, Magnification: 400X.

WB Suggested Anti-HDAC1 Antibody Titration: 0.2-1 ug/ml, ELISA Titer: 1:2500, Positive Control: Jurkat cell lysate, HDAC1 is supported by BioGPS gene expression data to be expressed in Jurkat.
Documents Download
Request a Document
Protocol Information
HDAC1 Rabbit Polyclonal Antibody (orb574159)
Participating in our Biorbyt product reviews program enables you to support fellow scientists by sharing your firsthand experience with our products.
Login to Submit a Review


















