You have no items in your shopping cart.
Description
Research Area
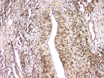
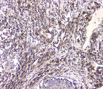
Images & Validation
−| Tested Applications | WB |
|---|---|
| Predicted Reactivity | Human |
Key Properties
−| Host | Rabbit |
|---|---|
| Clonality | Polyclonal |
| Immunogen | The immunogen is a synthetic peptide directed towards the Middle region of human HECTD3 |
| Target | HECTD3 |
| Protein Sequence | Synthetic peptide located within the following region: TDDNFMPKRVVVYGGEGDNLKKLSDVSIDETLIGDVCVLEDMTVHLPIIE |
| Molecular Weight | 97 kDa |
| Purification | Affinity purified |
| Conjugation | Unconjugated |
Storage & Handling
−| Storage | Maintain refrigerated at 2-8°C for up to 2 weeks. For long term storage store at -20°C in small aliquots to prevent freeze-thaw cycles. |
|---|---|
| Buffer/Preservatives | Liquid. Purified antibody supplied in 1x PBS buffer with 0.09% (w/v) sodium azide and 2% sucrose. |
| Concentration | 0.5 mg/ml |
| Expiration Date | 12 months from date of receipt. |
| Disclaimer | For research use only |
Similar Products
−HECTD3 Rabbit Polyclonal Antibody [orb527025]
FC, ICC, IHC, IHC-Fr, WB
Human, Mouse, Rat
Rabbit
Polyclonal
Unconjugated
100 μgHECTD3 Rabbit Polyclonal Antibody [orb627655]
ELISA, WB
Human, Mouse
Rabbit
Polyclonal
Unconjugated
50 μg, 100 μgHECTD3 Rabbit Polyclonal Antibody [orb1880210]
WB
Human
Rabbit
Polyclonal
Unconjugated
200 μl, 100 μl, 50 μl, 30 μlHECTD3 Rabbit Polyclonal Antibody (Biotin) [orb2120890]
Bovine, Canine, Equine, Guinea pig, Human, Mouse, Rabbit, Rat, Zebrafish
Rabbit
Polyclonal
Biotin
100 μlHECTD3 Rabbit Polyclonal Antibody (FITC) [orb2120889]
Bovine, Canine, Equine, Guinea pig, Human, Mouse, Rabbit, Rat, Zebrafish
Rabbit
Polyclonal
FITC
100 μl

Quality Guarantee
Explore bioreagents carefree to elevate your research. All our products are rigorously tested for performance. If a product does not perform as described on its datasheet, our scientific support team will provide expert troubleshooting, a prompt replacement, or a refund. For full details, please see our Terms & Conditions and Buying Guide. Contact us at support@biorbyt.com.

Sample Tissue: Human OVCAR-3 Whole Cell lysates, Antibody Dilution: 1 ug/ml.
Documents Download
Request a Document
HECTD3 Rabbit Polyclonal Antibody (orb578785)
Participating in our Biorbyt product reviews program enables you to support fellow scientists by sharing your firsthand experience with our products.
Login to Submit a Review






