You have no items in your shopping cart.
HERC6 Rabbit Polyclonal Antibody
Description
Research Area
Images & Validation
−| Tested Applications | IF, IHC-Fr, IHC-P, WB |
|---|---|
| Dilution Range | WB=1:500-2000, IHC-P=1:100-500, IHC-F=1:100-500, IF=1:100-500 |
| Reactivity | Mouse, Rat |
| Predicted Reactivity | Human, Porcine, Rabbit |
Related Conjugates & Formulations
−Key Properties
−| Antibody Type | Primary Antibody |
|---|---|
| Host | Rabbit |
| Clonality | Polyclonal |
| Isotype | IgG |
| Immunogen | KLH conjugated synthetic peptide derived from human HERC6 (751-850/1022aa) |
| Target | HERC6 |
| Molecular Weight | 115 kDa |
| Purification | Affinity purified by Protein A |
| Conjugation | Unconjugated |
Storage & Handling
−| Storage | Maintain refrigerated at 2-8°C for up to 2 weeks. For long term storage store at -20°C in small aliquots to prevent freeze-thaw cycles. |
|---|---|
| Form/Appearance | Liquid |
| Buffer/Preservatives | 0.01M TBS (pH7.4) with 1% rAlbumin, 0.02% Proclin300 and 50% Glycerol. |
| Concentration | 1mg/ml |
| Expiration Date | 12 months from date of receipt. |
| Disclaimer | For research use only |
Alternative Names
−Similar Products
−HERC6 Polyclonal Antibody [orb1419625]
ELISA, ICC, IF, IHC-Fr, IHC-P, WB
Porcine, Rat
Rabbit
Polyclonal
Unconjugated
100 μlHERC6 Rabbit Polyclonal Antibody [orb578763]
WB
Bovine, Canine, Equine, Guinea pig, Mouse, Porcine, Rabbit, Rat
Human
Rabbit
Polyclonal
Unconjugated
100 μlHECT E3 ubiquitin ligase Rabbit Polyclonal Antibody [orb157475]
ICC, IF, IHC-Fr, IHC-P
Rat
Human, Rat
Rabbit
Polyclonal
Unconjugated
50 μl, 100 μl, 200 μlHERC6 Rabbit Polyclonal Antibody [orb77637]
ELISA, IHC, WB
Mouse, Rat
Human
Rabbit
Polyclonal
Unconjugated
100 μgHERC6 Rabbit Polyclonal Antibody (HRP) [orb2120996]
WB
Bovine, Canine, Equine, Guinea pig, Human, Mouse, Porcine, Rabbit, Rat
Rabbit
Polyclonal
HRP
100 μl

Quality Guarantee
Explore bioreagents carefree to elevate your research. All our products are rigorously tested for performance. If a product does not perform as described on its datasheet, our scientific support team will provide expert troubleshooting, a prompt replacement, or a refund. For full details, please see our Terms & Conditions and Buying Guide. Contact us at support@biorbyt.com.

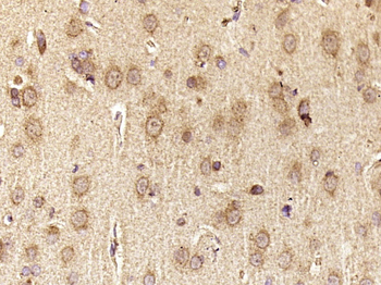
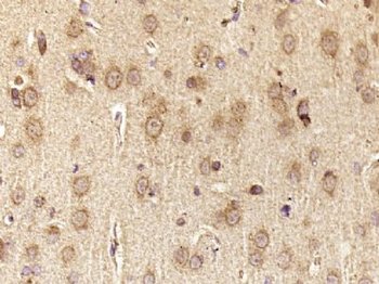
Paraformaldehyde-fixed, paraffin embedded (Rat brain), Antigen retrieval by boiling in sodium citrate buffer (pH6.0) for 15 min, Block endogenous peroxidase by 3% hydrogen peroxide for 20 minutes, Blocking buffer (normal goat serum) at 37°C for 30 min, Antibody incubation with (HERC6) Polyclonal Antibody, Unconjugated (orb157504) at 1:400 overnight at 4°C, followed by operating according to SP Kit (Rabbit) instructionsand DAB staining.

Sample: Lane 1: Mouse Placenta tissue lysates, Lane 2: Mouse Testis tissue lysates, Lane 3: Rat Placenta tissue lysates, Lane 4: Rat Testis tissue lysates, Lane 5: Human HL-60 cell lysates, Lane 6: Human A431 cell lysates, Lane 7: Human MOLT4 cell lysates, Primary: Anti-HERC6 (orb157504) at 1/1000 dilution, Secondary: IRDye800CW Goat Anti-Rabbit IgG at 1/20000 dilution, Predicted band size: 115 kDa, Observed band size: 135 kDa.
Quick Database Links
UniProt Details
−Documents Download
Request a Document
Protocol Information
HERC6 Rabbit Polyclonal Antibody (orb157504)
Participating in our Biorbyt product reviews program enables you to support fellow scientists by sharing your firsthand experience with our products.
Login to Submit a Review











