You have no items in your shopping cart.
HIRIP3 Antibody
Description
Research Area
Images & Validation
−| Tested Applications | IF, IHC, WB |
|---|---|
| Reactivity | Human, Mouse, Rat |
| Application Notes |
Key Properties
−| Antibody Type | Primary Antibody |
|---|---|
| Host | Rabbit |
| Clonality | Polyclonal |
| Isotype | IgG |
| Immunogen | Recombinant fusion protein containing a sequence corresponding to amino acids 417-556 of human HIRIP3 (NP_003600.2). |
| Target | HIRIP3 |
| Molecular Weight | Observed: 62kDa |
| Purification | Affinity purification |
| Conjugation | Unconjugated |
Storage & Handling
−| Storage | Maintain refrigerated at 2-8°C for up to 2 weeks. For long term storage store at -20°C in small aliquots to prevent freeze-thaw cycles. |
|---|---|
| Form/Appearance | Liquid |
| Buffer/Preservatives | PBS with 0.02% sodium azide, 50% glycerol, pH 7.3. |
| Concentration | batch dependent |
| Expiration Date | 12 months from date of receipt. |
| Disclaimer | For research use only |
Alternative Names
−Similar Products
−HIRIP3 Antibody [orb412526]
IF, IHC, WB
Human, Mouse, Rat
Rabbit
Polyclonal
Unconjugated
30 μl, 50 μl, 100 μl, 200 μlHIRIP3 Antibody [orb627697]
ELISA, IF, IHC, WB
Human, Mouse, Rat
Rabbit
Polyclonal
Unconjugated
100 μg, 50 μgHIRIP3 Rabbit Polyclonal Antibody [orb583945]
WB
Bovine, Canine, Porcine
Human
Rabbit
Polyclonal
Unconjugated
100 μlHIRIP3 Rabbit Polyclonal Antibody [orb77644]
ELISA, WB
Mouse, Rat
Human
Rabbit
Polyclonal
Unconjugated
100 μg

Quality Guarantee
Explore bioreagents carefree to elevate your research. All our products are rigorously tested for performance. If a product does not perform as described on its datasheet, our scientific support team will provide expert troubleshooting, a prompt replacement, or a refund. For full details, please see our Terms & Conditions and Buying Guide. Contact us at support@biorbyt.com.

Western blot analysis of extracts of various cell lines, using HIRIP3 antibody (orb1256659) at 1:1000 dilution. Secondary antibody: HRP Goat Anti-Rabbit IgG (H+L) at 1:10000 dilution. Lysates/proteins: 25 ug per lane. Blocking buffer: 3% nonfat dry milk in TBST. Detection: ECL Basic Kit. Exposure time: 90s.

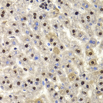
Immunohistochemistry of paraffin-embedded rat liver using HIRIP3 antibody (orb1256659) at dilution of 1:100 (40x lens).

Immunohistochemistry of paraffin-embedded rat spleen using HIRIP3 antibody (orb1256659) at dilution of 1:100 (40x lens).

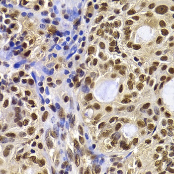
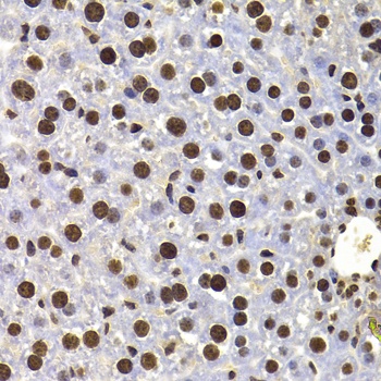
Immunohistochemistry of paraffin-embedded human liver cancer using HIRIP3 antibody (orb1256659) at dilution of 1:100 (40x lens).

Immunohistochemistry of paraffin-embedded human oophoroma using HIRIP3 antibody (orb1256659) at dilution of 1:100 (40x lens).

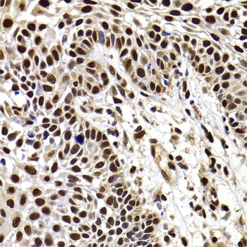
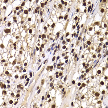
Immunohistochemistry of paraffin-embedded human well-differentiated squamous skin carcinoma using HIRIP3 antibody (orb1256659) at dilution of 1:100 (40x lens).

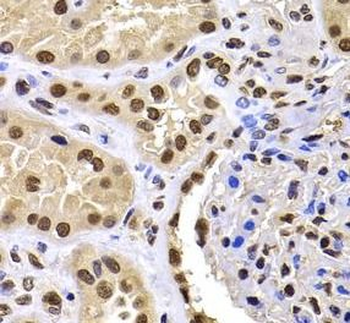
Immunohistochemistry of paraffin-embedded human kidney using HIRIP3 antibody (orb1256659) at dilution of 1:100 (40x lens).

Immunohistochemistry of paraffin-embedded human kidney cancer using HIRIP3 antibody (orb1256659) at dilution of 1:100 (40x lens).

Immunohistochemistry of paraffin-embedded mouse liver using HIRIP3 antibody (orb1256659) at dilution of 1:100 (40x lens).

Immunohistochemistry of paraffin-embedded mouse lung using ZNF148 antibody (orb1256668) at dilution of 1:100 (40x lens).

Immunofluorescence analysis of U2OS cells using HIRIP3 antibody (orb1256659).
Quick Database Links
UniProt Details
−Documents Download
Request a Document
Protocol Information
HIRIP3 Antibody (orb1256659)
Participating in our Biorbyt product reviews program enables you to support fellow scientists by sharing your firsthand experience with our products.
Login to Submit a Review





