You have no items in your shopping cart.
HIST1H2BK Antibody
Description
Research Area
Images & Validation
−| Tested Applications | ELISA, IF, IHC |
|---|---|
| Dilution Range | IHC-P:1:20-200, IF:1:50-200 |
| Reactivity | Human |
Key Properties
−| Host | Rabbit |
|---|---|
| Clonality | Polyclonal |
| Isotype | IgG |
| Immunogen | Recombinant Human Histone H2B type 1-K protein (2-126AA) |
| Target | HIST1H2BK |
| Purification | >95%, Protein G purified |
| Conjugation | Unconjugated |
Storage & Handling
−| Storage | Maintain refrigerated at 2-8°C for up to 2 weeks. For long term storage store at -20°C in small aliquots to prevent freeze-thaw cycles. |
|---|---|
| Form/Appearance | Liquid |
| Buffer/Preservatives | Preservative: 0.03% Proclin 300. Constituents: 50% Glycerol |
| Expiration Date | 12 months from date of receipt. |
| Disclaimer | For research use only |
Alternative Names
−Similar Products
−HIST1H2BJ/HIST1H2BK/HIST3H2BB Antibody(C-term) [orb1932102]
WB
Bovine, Monkey, Mouse, Xenopus
Human
Rabbit
Polyclonal
Unconjugated
100 μl, 50 μlHIST1H2BH/HIST1H2BK/HIST3H2BB Antibody (Center) [orb1933033]
WB
Bovine, Gallus, Mouse, Rat, Xenopus, Zebrafish
Human
Rabbit
Polyclonal
Unconjugated
100 μl, 50 μlHistone H2B Rabbit Monoclonal Antibody [orb548476]
FC, ICC, IF, IHC, IP, WB
Human, Mouse, Rat
Rabbit
Monoclonal
Unconjugated
100 μlHistone H2B (Acetyl-K34) Rabbit Polyclonal Antibody [orb1289927]
WB
Bovine, Human, Mouse, Rat
Rabbit
Polyclonal
Unconjugated
30 μl, 100 μl, 200 μl, 50 μlHistone H2B Antibody [orb672294]
ELISA, WB
Human, Mouse, Rat
Rabbit
Polyclonal
Unconjugated
100 μg, 50 μg

Quality Guarantee
Explore bioreagents carefree to elevate your research. All our products are rigorously tested for performance. If a product does not perform as described on its datasheet, our scientific support team will provide expert troubleshooting, a prompt replacement, or a refund. For full details, please see our Terms & Conditions and Buying Guide. Contact us at support@biorbyt.com.

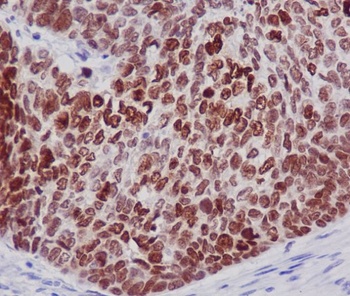
Immunohistochemical staining of human small intestine tissue using HIST1H2BK antibody

Immunofluorescence analysis of 293 cells using HIST1H2BK antibody

Immunohistochemical staining of human testis tissue using HIST1H2BK antibody
Quick Database Links
UniProt Details
−Documents Download
Request a Document
Protocol Information
HIST1H2BK Antibody (orb24544)
Participating in our Biorbyt product reviews program enables you to support fellow scientists by sharing your firsthand experience with our products.
Login to Submit a Review





