You have no items in your shopping cart.
HIST1H4A Antibody
Description
Research Area
Images & Validation
−| Tested Applications | ChIP, ELISA, IF, IHC, IP, WB |
|---|---|
| Dilution Range | WB:1:500-5000, IHC-P:1:20-200, IF:1:50-200, IP:1:200-2000 |
| Reactivity | Human, Mouse |
Key Properties
−| Host | Rabbit |
|---|---|
| Clonality | Polyclonal |
| Isotype | IgG |
| Immunogen | Peptide sequence around site of Lys (12) derived from Human Histone H4 |
| Target | HIST1H4A |
| Purification | Antigen Affinity Purified |
| Conjugation | Unconjugated |
Storage & Handling
−| Storage | Maintain refrigerated at 2-8°C for up to 2 weeks. For long term storage store at -20°C in small aliquots to prevent freeze-thaw cycles. |
|---|---|
| Form/Appearance | Liquid |
| Buffer/Preservatives | Preservative: 0.03% Proclin 300. Constituents: 50% Glycerol |
| Expiration Date | 12 months from date of receipt. |
| Disclaimer | For research use only |
Alternative Names
−Similar Products
−Histone H4 Polyclonal Antibody [orb1413454]
IF, IHC-P, WB
Human, Mouse, Rat
Rabbit
Polyclonal
Unconjugated
100 μlHistone H4 (Acetyl Lys16) Polyclonal Antibody [orb1416061]
IF, IHC-P, WB
Human, Mouse, Rat
Rabbit
Polyclonal
Unconjugated
100 μlHIST1H4A Antibody [orb416507]
ChIP, ELISA, IF, IHC, IP, WB
Human, Mouse, Rat
Rabbit
Polyclonal
Unconjugated
50 μl, 100 μlHIST1H4A Antibody [orb418609]
ChIP, ELISA, IF, IHC, IP, WB
Human, Rat
Rabbit
Polyclonal
Unconjugated
50 μl, 100 μl

Quality Guarantee
Explore bioreagents carefree to elevate your research. All our products are rigorously tested for performance. If a product does not perform as described on its datasheet, our scientific support team will provide expert troubleshooting, a prompt replacement, or a refund. For full details, please see our Terms & Conditions and Buying Guide. Contact us at support@biorbyt.com.

Chromatin Immunoprecipitation Hela (4*106) were treated with Micrococcal Nuclease, sonicated, and immunoprecipitated with 5ug anti- HIST1H4A (Ab-12) antibody or a control normal rabbit IgG. The resulting ChIP DNA was quantified using real-time

Western blot aanalysis of Mouse kidney tissue, Mouse brain tissueusing HIST1H4A (Ab-12) antibody

Immunoprecipitation analysis of Mouse Brain tissue using HIST1H4A (Ab-12) antibody

Immunofluorescent analysis of Hela cells using HIST1H4A (Ab-12) antibody

Immunohistochemistry of paraffin-embedded human cervical cancer tissue using HIST1H4A (Ab-12) antibody

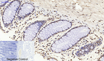
Immunohistochemistry of paraffin-embedded human colon cancer tissue using HIST1H4A (Ab-12) antibody
Quick Database Links
UniProt Details
−Documents Download
Request a Document
Protocol Information
HIST1H4A Antibody (orb416524)
Participating in our Biorbyt product reviews program enables you to support fellow scientists by sharing your firsthand experience with our products.
Login to Submit a Review




























