You have no items in your shopping cart.
Histone H3 (acetyl K14) Recombinant Rabbit Monoclonal Antibody
Description
Research Area
Images & Validation
−| Tested Applications | ICC, IF, IHC-Fr, IHC-P, WB |
|---|---|
| Dilution Range | WB=1:500-2000, IHC-P=1:50-200, IHC-F=1:50-200, ICC/IF=1:100-500, IF=1:100-500 |
| Reactivity | Human, Mouse, Rat |
| Predicted Reactivity | Mouse, Rat |
Key Properties
−| Antibody Type | Primary Antibody |
|---|---|
| Host | Rabbit |
| Clonality | Recombinant |
| Isotype | IgG |
| Clone No. | 1C6 |
| Immunogen | KLH conjugated synthesised acetylpeptide derived from human Histone H3 around the acetylation site of K14 |
| Target | H3C1 |
| Molecular Weight | 15 kDa |
| Purification | Affinity purified by Protein A |
| Conjugation | Unconjugated |
Storage & Handling
−| Storage | Maintain refrigerated at 2-8°C for up to 2 weeks. For long term storage store at -20°C in small aliquots to prevent freeze-thaw cycles. |
|---|---|
| Form/Appearance | Liquid |
| Buffer/Preservatives | 0.01M TBS (pH7.4) with 1% rAlbumin, 0.02% Proclin300 and 50% Glycerol. |
| Concentration | 1mg/ml |
| Expiration Date | 12 months from date of receipt. |
| Disclaimer | For research use only |
Alternative Names
−
Quality Guarantee
Explore bioreagents carefree to elevate your research. All our products are rigorously tested for performance. If a product does not perform as described on its datasheet, our scientific support team will provide expert troubleshooting, a prompt replacement, or a refund. For full details, please see our Terms & Conditions and Buying Guide. Contact us at support@biorbyt.com.

Hela cell, 4% Paraformaldehyde-fixed, Triton X-100 at room temperature for 20 min, Blocking buffer (normal goat serum) at 37°C for 20 min, Antibody incubation with (Histone H3 (acetyl K14)) monoclonal Antibody, Unconjugated (orb559154) 1:100, 90 minutes at 37°C, followed by a conjugated Goat Anti-Rabbit IgG antibody at 37°C for 90 minutes, DAPI (blue) was used to stain the cell nuclei.

MCF-7 cell, 4% Paraformaldehyde-fixed, Triton X-100 at room temperature for 20 min, Blocking buffer (normal goat serum) at 37°C for 20 min, Antibody incubation with (Histone H3 (acetyl K14)) monoclonal Antibody, Unconjugated (orb559154) 1:100, 90 minutes at 37°C, followed by a conjugated Goat Anti-Rabbit IgG antibody at 37°C for 90 minutes, DAPI (blue) was used to stain the cell nuclei.

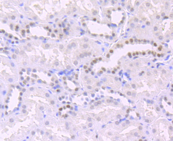
Paraformaldehyde-fixed, paraffin embedded (human kidney), Antigen retrieval by boiling in sodium citrate buffer (pH6.0) for 15 min, Block endogenous peroxidase by 3% hydrogen peroxide for 20 minutes, Blocking buffer (normal goat serum) at 37°C for 30 min, Antibody incubation with (Histone H3 (acetyl K14)) Monoclonal Antibody, Unconjugated (orb559154) at 1:50 overnight at 4°C, followed by operating according to SP Kit (Rabbit) instructionsand DAB staining.

Paraformaldehyde-fixed, paraffin embedded (rat brain), Antigen retrieval by boiling in sodium citrate buffer (pH6.0) for 15 min, Block endogenous peroxidase by 3% hydrogen peroxide for 20 minutes, Blocking buffer (normal goat serum) at 37°C for 30 min, Antibody incubation with (Histone H3 (acetyl K14)) Monoclonal Antibody, Unconjugated (orb559154) at 1:50 overnight at 4°C, followed by operating according to SP Kit (Rabbit) instructionsand DAB staining.

PC-3M cell, 4% Paraformaldehyde-fixed, Triton X-100 at room temperature for 20 min, Blocking buffer (normal goat serum) at 37°C for 20 min, Antibody incubation with (Histone H3 (acetyl K14)) monoclonal Antibody, Unconjugated (orb559154) 1:100, 90 minutes at 37°C, followed by a conjugated Goat Anti-Rabbit IgG antibody at 37°C for 90 minutes, DAPI (blue) was used to stain the cell nuclei.

Sample: Lane 1: Jurkat cell lysate, Lane 2: rat liver tissue lysate, Lane 3: mouse lung tissue lysate, Primary: Anti-Histone H3 (acetyl K14) (orb559154) at 1:500 dilution, Secondary: Goat Anti-Rabbit IgG - HRP at 1:5000 dilution, Predicted band size: 15 kD, Observed band size: 14 kD.
Quick Database Links
UniProt Details
−Documents Download
Request a Document
Protocol Information
Histone H3 (acetyl K14) Recombinant Rabbit Monoclonal Antibody (orb559154)
Participating in our Biorbyt product reviews program enables you to support fellow scientists by sharing your firsthand experience with our products.
Login to Submit a Review