You have no items in your shopping cart.
Histone H3 Polyclonal Antibody
Description
Research Area
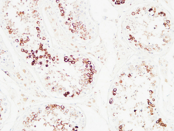
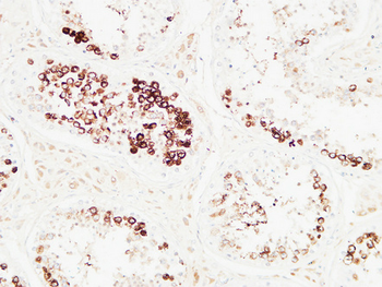
Images & Validation
−| Tested Applications | IF, IHC-P, WB |
|---|---|
| Dilution Range | WB: Western Blot: 1/500 - 1/2000. Immunohistochemistry: 1/100 - 1/300. Immunofluorescence: 1/200 - 1/1000. ELISA: 1/20000. Not yet tested in other applications. |
| Reactivity | Human, Mouse, Rat |
Key Properties
−| Host | Rabbit |
|---|---|
| Clonality | Polyclonal |
| Conjugation | Unconjugated |
Storage & Handling
−| Storage | Maintain refrigerated at 2-8°C for up to 2 weeks. For long term storage store at -20°C in small aliquots to prevent freeze-thaw cycles |
|---|---|
| Expiration Date | 12 months from date of receipt. |
| Disclaimer | For research use only |
Alternative Names
−Similar Products
−Histone H3 Rabbit Polyclonal Antibody (Nuclear Loading Control) [orb10805]
FC, IF, IHC-Fr, IHC-P, WB
Bovine, Drosophila, Porcine, Rabbit
Human, Mouse, Rat
Rabbit
Polyclonal
Unconjugated
1 ml, 100 μl, 500 μl, 200 μlHistone H3 HIST1H3A/B/C/D/E/F/G/H/I/J Rabbit Polyclonal Antibody [orb614120]
ELISA, FC, ICC, IF, IHC, WB
Human, Mouse, Rat
Rabbit
Polyclonal
Unconjugated
100 μgHistone H3.1 Rabbit Polyclonal Antibody [orb184149]
IF, IHC-Fr, IHC-P, WB
Bovine, Equine, Porcine, Primate, Rabbit, Sheep
Human, Mouse, Rat
Rabbit
Polyclonal
Unconjugated
200 μl, 100 μl, 50 μlHistone H3 (Tri Methyl K4) Rabbit Polyclonal Antibody [orb1845]
ELISA, IF, IHC-Fr, IHC-P, WB
Mouse, Rat
Human, Mouse, Rat
Rabbit
Polyclonal
Unconjugated
50 μl, 100 μlH3 histone family member 3B Antibody [orb556958]
ICC, IHC-P, WB
Human, Mouse, Rat
Rabbit
Polyclonal
Unconjugated
100 μl

Quality Guarantee
Explore bioreagents carefree to elevate your research. All our products are rigorously tested for performance. If a product does not perform as described on its datasheet, our scientific support team will provide expert troubleshooting, a prompt replacement, or a refund. For full details, please see our Terms & Conditions and Buying Guide. Contact us at support@biorbyt.com.






Documents Download
Request a Document
Protocol Information
Histone H3 Polyclonal Antibody (orb1413462)
Participating in our Biorbyt product reviews program enables you to support fellow scientists by sharing your firsthand experience with our products.
Login to Submit a Review



















































































































