You have no items in your shopping cart.
Histone H3 Rabbit mAb Antibody
Description
Images & Validation
−| Tested Applications | FC, ICC, IHC, WB |
|---|---|
| Reactivity | Human, Mouse, Rat |
Key Properties
−| Antibody Type | Recombinant Antibody |
|---|---|
| Host | Rabbit |
| Clonality | Monoclonal |
| Conjugation | Unconjugated |
Storage & Handling
−| Storage | Maintain refrigerated at 2-8°C for up to 2 weeks. For long term storage store at -20°C in small aliquots to prevent freeze-thaw cycles. |
|---|---|
| Expiration Date | 12 months from date of receipt. |
| Disclaimer | For research use only |
Similar Products
−Recombinant Histone H1 Antibody [orb2643346]
FACS, IF, IHC-P, WB
Human, Mouse, Rat
Rabbit
Recombinant
Unconjugated
100 μgRecombinant Histone H1 Antibody [orb639702]
FACS, IF, IHC-P, WB
Human, Mouse, Rat
Rabbit
Recombinant
Unconjugated
100 μg, 20 μgHistone H3 (acetyl K56) Rabbit mAb [KD Validated] Antibody [orb1951870]
ICC, IHC, WB
Human, Mouse, Rat
Rabbit
Monoclonal
Unconjugated
100 μl, 50 μlHDAC9 Rabbit mAb [KD Validated] Antibody [orb1951374]
ICC, IHC, WB
Human, Rat
Rabbit
Monoclonal
Unconjugated
100 μl, 50 μlPhospho-Histone H3 (Ser28) (D6) rabbit mAb Antibody [orb1946316]
FC, WB
Human, Mouse
Rabbit
Monoclonal
Unconjugated
200 μl, 20 μl

Quality Guarantee
Explore bioreagents carefree to elevate your research. All our products are rigorously tested for performance. If a product does not perform as described on its datasheet, our scientific support team will provide expert troubleshooting, a prompt replacement, or a refund. For full details, please see our Terms & Conditions and Buying Guide. Contact us at support@biorbyt.com.

Immunofluorescent analysis of HeLa cells, using Histone H3 Antibody.

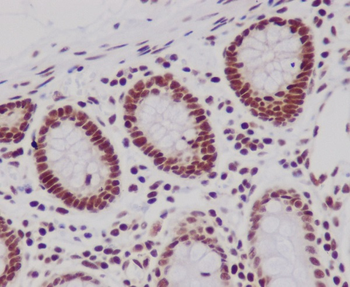
Immunohistochemical analysis of paraffin-embedded human colon, using Histone H3 Antibody.

Western blot analysis of Histone H3 expression in (1) HeLa cell lysate; (2) NIH/3T3 cell lysate; (3) Rat brain lysate.
Quick Database Links
UniProt Details
−Documents Download
Request a Document
Protocol Information
Histone H3 Rabbit mAb Antibody (orb1951287)
Participating in our Biorbyt product reviews program enables you to support fellow scientists by sharing your firsthand experience with our products.
Login to Submit a Review











![Histone H3 (acetyl K56) Rabbit mAb [KD Validated] Antibody](/images/pub/media/catalog/product/NewWebsite/18/orb1951870_1.png)
![Histone H3 (acetyl K56) Rabbit mAb [KD Validated] Antibody](/images/pub/media/catalog/product/NewWebsite/18/orb1951870_2.png)
![Histone H3 (acetyl K56) Rabbit mAb [KD Validated] Antibody](/images/pub/media/catalog/product/NewWebsite/18/orb1951870_3.png)
![Histone H3 (acetyl K56) Rabbit mAb [KD Validated] Antibody](/images/pub/media/catalog/product/NewWebsite/18/orb1951870_4.png)
![HDAC9 Rabbit mAb [KD Validated] Antibody](/images/pub/media/catalog/product/NewWebsite/18/orb1951374_1.png)
![HDAC9 Rabbit mAb [KD Validated] Antibody](/images/pub/media/catalog/product/NewWebsite/18/orb1951374_2.png)
![HDAC9 Rabbit mAb [KD Validated] Antibody](/images/pub/media/catalog/product/NewWebsite/18/orb1951374_3.png)
![HDAC9 Rabbit mAb [KD Validated] Antibody](/images/pub/media/catalog/product/NewWebsite/18/orb1951374_4.png)




