You have no items in your shopping cart.
Histone H3(Phospho Thr32 ) Rabbit pAb Antibody
Description
Images & Validation
−| Tested Applications | IHC, WB |
|---|---|
| Dilution Range | WB 1:1,000-2,000 IHC 1:200-500 |
| Reactivity | Human, Mouse, Rat |
Key Properties
−| Clonality | Polyclonal |
|---|---|
| Isotype | IgG |
| Immunogen | Synthetic Peptide |
| Molecular Weight | 15-17kDa |
| Conjugation | Unconjugated |
Storage & Handling
−| Storage | Maintain refrigerated at 2-8°C for up to 2 weeks. For long term storage store at -20°C in small aliquots to prevent freeze-thaw cycles. |
|---|---|
| Buffer/Preservatives | PBS with 0.02% sodium azide and 50% glycerol pH 7.4. |
| Concentration | 1mg/mL |
| Expiration Date | 12 months from date of receipt. |
| Disclaimer | For research use only |
Alternative Names
−Similar Products
−Histone H3 (Phospho Thr32) rabbit pAb Antibody [orb2307817]
WB
Human, Mouse, Rat
Polyclonal
Unconjugated
100 μl, 50 μl

Quality Guarantee
Explore bioreagents carefree to elevate your research. All our products are rigorously tested for performance. If a product does not perform as described on its datasheet, our scientific support team will provide expert troubleshooting, a prompt replacement, or a refund. For full details, please see our Terms & Conditions and Buying Guide. Contact us at support@biorbyt.com.

Western blot analysis of extracts from Hela cells, untreated (-) or treated with Nocodazole (1μg/ml, 24 hr; +), using Phospho-Histone H3 (Thr32) Rabbit pAb (upper) orb763674 1:2000 and Histone H3 (1G1) Mouse mAb (lower) orb763402 1:2000.

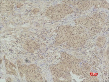
Immunohistochemical analysis of paraffin-embedded Human Breast Caricnoma using Histone H3 (Phospho Thr32) (orb763674) Rabbit pAb diluted at 1:500.
Quick Database Links
UniProt Details
−Documents Download
Request a Document
Protocol Information
Histone H3(Phospho Thr32 ) Rabbit pAb Antibody (orb763674)
Participating in our Biorbyt product reviews program enables you to support fellow scientists by sharing your firsthand experience with our products.
Login to Submit a Review