You have no items in your shopping cart.
Histone H4 (tri methyl K20) Rabbit Polyclonal Antibody
Description
Research Area
Images & Validation
−| Tested Applications | IF, IHC-Fr, IHC-P |
|---|---|
| Dilution Range | IHC-P=1:100-500, IHC-F=1:100-500, IF=1:100-500 |
| Reactivity | Human, Mouse |
| Predicted Reactivity | Bovine, Rat |
Related Conjugates & Formulations
−Key Properties
−| Antibody Type | Primary Antibody |
|---|---|
| Host | Rabbit |
| Clonality | Polyclonal |
| Isotype | IgG |
| Immunogen | KLH conjugated Synthesised methylpeptide derived from human Histone H4 around the methylation site of tri methyl Lys20 HR(tri methyl K)VL |
| Target | H4C1 |
| Molecular Weight | 11 kDa |
| Purification | Affinity purified by Protein A |
| Conjugation | Unconjugated |
Storage & Handling
−| Storage | Maintain refrigerated at 2-8°C for up to 2 weeks. For long term storage store at -20°C in small aliquots to prevent freeze-thaw cycles. |
|---|---|
| Form/Appearance | Liquid |
| Buffer/Preservatives | 0.01M TBS (pH7.4) with 1% rAlbumin, 0.02% Proclin300 and 50% Glycerol. |
| Concentration | 1mg/ml |
| Expiration Date | 12 months from date of receipt. |
| Disclaimer | For research use only |
Alternative Names
−Similar Products
−TriMethyl-Histone H4-K20 polyclonal antibody [orb648714]
DOT, IF, IHC, WB
Human, Mouse, Other, Rat
Rabbit
Polyclonal
Unconjugated
200 μl, 100 μl, 50 μlHistone H4 (tri methyl K20) Rabbit Polyclonal Antibody (HRP) [orb471791]
IHC-Fr, IHC-P
Bovine, Rat
Human, Mouse
Rabbit
Polyclonal
HRP
100 μlHistone H4 (tri methyl K20) Rabbit Polyclonal Antibody (FITC) [orb188324]
IF
Bovine, Rat
Human, Mouse
Rabbit
Polyclonal
FITC
100 μlHistone H4 (tri methyl K20) Rabbit Polyclonal Antibody (PerCP-Cy5.5) [orb2393308]
IF
Bovine, Rat
Human, Mouse
Rabbit
Polyclonal
PerCP/Cy5.5
100 μlHistone H4 (tri methyl K20) Rabbit Polyclonal Antibody (PerCP) [orb2393309]
IF
Bovine, Rat
Human, Mouse
Rabbit
Polyclonal
PerCP
100 μl

Quality Guarantee
Explore bioreagents carefree to elevate your research. All our products are rigorously tested for performance. If a product does not perform as described on its datasheet, our scientific support team will provide expert troubleshooting, a prompt replacement, or a refund. For full details, please see our Terms & Conditions and Buying Guide. Contact us at support@biorbyt.com.

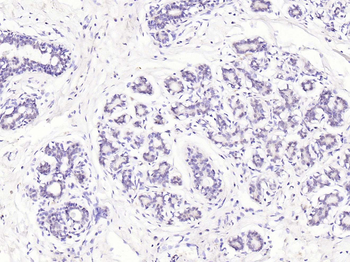
Paraformaldehyde-fixed, paraffin embedded (human lung carcinoma), Antigen retrieval by boiling in sodium citrate buffer (pH6.0) for 15 min, Block endogenous peroxidase by 3% hydrogen peroxide for 20 minutes, Blocking buffer (normal goat serum) at 37°C for 30 min, Antibody incubation with (Histone H4 (tri methyl K20)) Polyclonal Antibody, Unconjugated (orb184011) at 1:200 overnight at 4°C, followed by operating according to SP Kit (Rabbit) instructionsand DAB staining.

Paraformaldehyde-fixed, paraffin embedded (Human mammary gland), Antigen retrieval by boiling in sodium citrate buffer (pH6.0) for 15 min, Block endogenous peroxidase by 3% hydrogen peroxide for 20 minutes, Blocking buffer (normal goat serum) at 37°C for 30 min, Antibody incubation with (Histone H4 (tri methyl K20)) Polyclonal Antibody, Unconjugated (orb184011) at 1:200 overnight at 4°C, followed by operating according to SP Kit (Rabbit) instructionsand DAB staining.

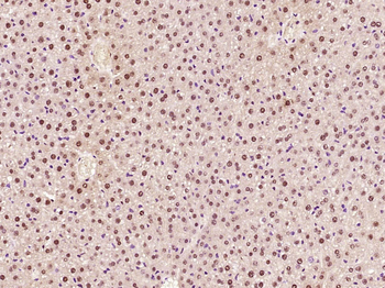
Paraformaldehyde-fixed, paraffin embedded (Mouse liver), Antigen retrieval by boiling in sodium citrate buffer (pH6.0) for 15 min, Block endogenous peroxidase by 3% hydrogen peroxide for 20 minutes, Blocking buffer (normal goat serum) at 37°C for 30 min, Antibody incubation with (Histone H4 (tri methyl K20)) Polyclonal Antibody, Unconjugated (orb184011) at 1:400 overnight at 4°C, followed by operating according to SP Kit (Rabbit) instructionsand DAB staining.
Quick Database Links
UniProt Details
−Documents Download
Request a Document
Protocol Information
Histone H4 (tri methyl K20) Rabbit Polyclonal Antibody (orb184011)
Participating in our Biorbyt product reviews program enables you to support fellow scientists by sharing your firsthand experience with our products.
Login to Submit a Review