You have no items in your shopping cart.
HLA-DPB1 polyclonal antibody
Description
Images & Validation
−| Tested Applications | IF, IHC, WB |
|---|---|
| Dilution range | WB:1:500-1:1, 000IP:1:10-1:50ICC:1:50-1:100, IHC-P: 1:50-1:200 |
| Reactivity | Human, Mouse, Rat |
Key Properties
−| Antibody Type | Primary Antibody |
|---|---|
| Host | Rabbit |
| Clonality | Polyclonal |
| Immunogen | A synthetic peptide of human HLA-DPB1(NP_002112.3). |
| Molecular Weight | 25-35KDa |
| Purification | The antibody was affinity-purified from rabbit antiserum by affinity-chromatography using epitope-specific immunogen and the purity is > 95% (by SDS-PAGE). |
| Conjugation | Unconjugated |
Storage & Handling
−| Storage | Maintain refrigerated at 2-8°C for up to 2 weeks. For long term storage store at -20°C in small aliquots to prevent freeze-thaw cycles. |
|---|---|
| Form/Appearance | 1mg/ml in PBS with 0.02% sodium azide, 50% glycerol, pH 7.2 |
| Buffer/Preservatives | Rabbit IgG, 1mg/ml in PBS with 0.02% sodium azide, 50% glycerol, pH 7.2 |
| Concentration | 1mg/ml |
| Disclaimer | For research use only |
Alternative Names
−Similar Products
−MHC Class II Rabbit Polyclonal Antibody [orb101661]
IF, IHC-Fr, IHC-P, WB
Rat
Human, Mouse
Rabbit
Polyclonal
Unconjugated
50 μl, 100 μl, 200 μlMHC Class II Rabbit Polyclonal Antibody [orb157874]
IF, IHC-Fr, IHC-P, WB
Rat
Human, Mouse
Rabbit
Polyclonal
Unconjugated
50 μl, 100 μl, 200 μlHLA-DPB1 Rabbit Polyclonal Antibody [orb5450]
FC, IF, IHC-Fr, IHC-P, WB
Mouse
Human, Mouse
Rabbit
Polyclonal
Unconjugated
50 μl, 200 μl, 100 μlMHC Class II Rabbit Polyclonal Antibody (HRP) [orb470875]
IHC-Fr, IHC-P, WB
Rat
Human, Mouse
Rabbit
Polyclonal
HRP
100 μlHLA-DPB1 Antibody [orb340751]
IHC, WB
Human, Mouse
Rabbit
Polyclonal
Unconjugated
30 μl, 50 μl, 100 μl, 200 μl

Quality Guarantee
Explore bioreagents carefree to elevate your research. All our products are rigorously tested for performance. If a product does not perform as described on its datasheet, our scientific support team will provide expert troubleshooting, a prompt replacement, or a refund. For full details, please see our Terms & Conditions and Buying Guide. Contact us at support@biorbyt.com.

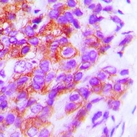
Immunohistochemical analysis of paraffin-embedded human tonsil tissue using anti- MHC Class II antibody.

Immunohistochemical analysis of paraffin-embedded human spleen tissue using anti- MHC Class II antibody.
Quick Database Links
UniProt Details
−Documents Download
Request a Document
Protocol Information
Filter by Applications
Filter by Species
Shan Gao 1, Tianyi Liu 1, Qing Liu DNMT1 promotes bladder cancer progression and immune escape by inhibiting MYH11 expression by methylating its promoter Int Urol Nephrol, (2025)
Applications
Reactivity
HLA-DPB1 polyclonal antibody (orb650206)
Participating in our Biorbyt product reviews program enables you to support fellow scientists by sharing your firsthand experience with our products.
Login to Submit a Review










