You have no items in your shopping cart.
HNRPA1 Rabbit Polyclonal Antibody
Description
Research Area
Images & Validation
−| Tested Applications | IHC, WB |
|---|---|
| Reactivity | Human |
| Predicted Reactivity | Bovine, Canine, Equine, Guinea pig, Mouse, Rabbit, Rat |
Key Properties
−| Host | Rabbit |
|---|---|
| Clonality | Polyclonal |
| Immunogen | The immunogen is a synthetic peptide directed towards the N terminal region of human HNRPA1 |
| Target | HNRNPA1 |
| Protein Sequence | Synthetic peptide located within the following region: MSKSESPKEPEQLRKLFIGGLSFETTDESLRSHFEQWGTLTDCVVMRDPN |
| Molecular Weight | 35kDa |
| Purification | Protein A purified |
| Conjugation | Unconjugated |
Storage & Handling
−| Storage | Maintain refrigerated at 2-8°C for up to 2 weeks. For long term storage store at -20°C in small aliquots to prevent freeze-thaw cycles. |
|---|---|
| Buffer/Preservatives | Liquid. Purified antibody supplied in 1x PBS buffer with 0.09% (w/v) sodium azide and 2% sucrose. |
| Concentration | 1.0 mg/ml |
| Expiration Date | 12 months from date of receipt. |
| Disclaimer | For research use only |
Alternative Names
−Similar Products
−HnRNP A1/HNRNPA1 Rabbit Polyclonal Antibody [orb389413]
FC, ICC, IF, IHC, WB
Human, Mouse, Rat
Rabbit
Polyclonal
Unconjugated
100 μghnRNP A1 rabbit pAb Antibody [orb765419]
ELISA, IF, IHC, WB
Human, Mouse, Rat
Polyclonal
Unconjugated
100 μl, 50 μlHNRPA1 Rabbit Polyclonal Antibody [orb577558]
IHC, WB
Bovine, Canine, Equine, Guinea pig, Mouse, Porcine, Rabbit, Rat
Human
Rabbit
Polyclonal
Unconjugated
100 μlhnRNP A1 Rabbit Polyclonal Antibody [orb214042]
IF, IHC, WB
Bovine, Gallus, Human, Monkey, Mouse, Porcine, Rat
Rabbit
Polyclonal
Unconjugated
30 μl, 100 μl, 200 μl, 50 μlHNRNPA1 Antibody [orb675623]
ELISA, IF, IHC, WB
Human, Mouse, Rat
Rabbit
Polyclonal
Unconjugated
50 μg, 100 μg

Quality Guarantee
Explore bioreagents carefree to elevate your research. All our products are rigorously tested for performance. If a product does not perform as described on its datasheet, our scientific support team will provide expert troubleshooting, a prompt replacement, or a refund. For full details, please see our Terms & Conditions and Buying Guide. Contact us at support@biorbyt.com.

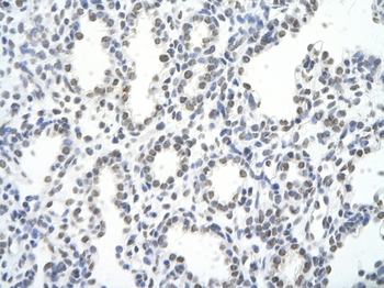
Rabbit Anti-HNRPA1 antibody, Paraffin Embedded Tissue: Human Heart cell Cellular Data: cardiac cell of renal tubule, Antibody Concentration: 4.0-8.0 ug/ml, Magnification: 400X.

Rabbit Anti-HNRPA1 Antibody, Paraffin Embedded Tissue: Human Heart, Cellular Data: Myocardial cells, Antibody Concentration: 4.0-8.0 ug/ml, Magnification: 400X.

Rabbit Anti-HNRPA1 Antibody, Paraffin Embedded Tissue: Human Liver, Cellular Data: Hepatocytes, Antibody Concentration: 4.0-8.0 ug/ml, Magnification: 400X.

WB Suggested Anti-HNRPA1 Antibody Titration: 1.25 ug/ml, ELISA Titer: 1:312500, Positive Control: Jurkat cell lysate. HNRNPA1 is strongly supported by BioGPS gene expression data to be expressed in Human Jurkat cells.
Documents Download
Request a Document
Protocol Information
HNRPA1 Rabbit Polyclonal Antibody (orb577557)
Participating in our Biorbyt product reviews program enables you to support fellow scientists by sharing your firsthand experience with our products.
Login to Submit a Review






















