You have no items in your shopping cart.
HNRPA3 Rabbit Polyclonal Antibody
Description
Research Area
Images & Validation
−| Tested Applications | IHC, WB |
|---|---|
| Reactivity | Human |
| Predicted Reactivity | Bovine, Canine, Guinea pig, Mouse, Rabbit, Rat |
Key Properties
−| Host | Rabbit |
|---|---|
| Clonality | Polyclonal |
| Immunogen | The immunogen is a synthetic peptide directed towards the N terminal region of human HNRPA3 |
| Target | HNRNPA3 |
| Protein Sequence | Synthetic peptide located within the following region: MEVKPPPGRPQPDSGRRRRRRGEEGHDPKEPEQLRKLFIGGLSFETTDDS |
| Molecular Weight | 42kDa |
| Purification | Protein A purified |
| Conjugation | Unconjugated |
Storage & Handling
−| Storage | Maintain refrigerated at 2-8°C for up to 2 weeks. For long term storage store at -20°C in small aliquots to prevent freeze-thaw cycles. |
|---|---|
| Buffer/Preservatives | Liquid. Purified antibody supplied in 1x PBS buffer with 0.09% (w/v) sodium azide and 2% sucrose. |
| Concentration | 1.0 mg/ml |
| Expiration Date | 12 months from date of receipt. |
| Disclaimer | For research use only |
Alternative Names
−Similar Products
−HNRPA3 Rabbit Polyclonal Antibody [orb324946]
IHC, WB
Bovine, Canine, Equine, Guinea pig, Mouse, Rabbit, Rat
Human
Rabbit
Polyclonal
Unconjugated
100 μlHnRNP A3 Rabbit Polyclonal Antibody [orb184070]
ICC, IF, IHC-Fr, IHC-P
Bovine, Canine, Equine, Rabbit, Rat
Human, Mouse
Rabbit
Polyclonal
Unconjugated
50 μl, 100 μl, 200 μlHNRNPA3 Rabbit Polyclonal Antibody [orb627758]
ELISA, IF, IHC, WB
Human, Mouse, Rat
Rabbit
Polyclonal
Unconjugated
50 μg, 100 μgHNRNPA3 Rabbit Polyclonal Antibody [orb1880029]
WB
Human
Rabbit
Polyclonal
Unconjugated
200 μl, 100 μl, 50 μl, 30 μl

Quality Guarantee
Explore bioreagents carefree to elevate your research. All our products are rigorously tested for performance. If a product does not perform as described on its datasheet, our scientific support team will provide expert troubleshooting, a prompt replacement, or a refund. For full details, please see our Terms & Conditions and Buying Guide. Contact us at support@biorbyt.com.

Sample Tissue: Human Jurkat, Antibody Dilution: 1.0 ug/mL.

Sample Type: Jurkat, Lane A: Primary Antibody, Lane B: Primary Antibody + Blocking Peptide, Primary Antibody Concentration: 0.625 ug/mL, Peptide Concentration: 1.0 ug/mL, Lysate Quantity: 25 ug/lane, Gel Concentration: 12%.

Positive control (+): HeLa Cell Lysate (HL), Negative control (-): Human Fetal Heart (HE), Antibody concentration: 3 ug/mL.

Rabbit Anti-HNRPA3 Antibody, Paraffin Embedded Tissue: Human Liver, Cellular Data: Hepatocytes, Antibody Concentration: 4.0-8.0 ug/mL, Magnification: 400X.

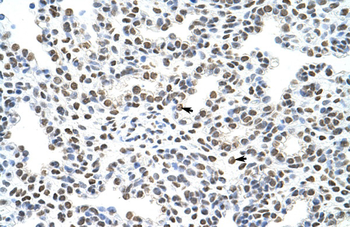
Rabbit Anti-HNRPA3 Antibody, Paraffin Embedded Tissue: Human Lung, Cellular Data: Alveolar cells, Antibody Concentration: 4.0-8.0 ug/mL, Magnification: 400X.

WB Suggested Anti-HNRPA3 antibody Titration: 1 ug/mL, Sample Type: Human 721_B.

WB Suggested Anti-HNRPA3 antibody Titration: 1 ug/mL, Sample Type: Human Daudi.

WB Suggested Anti-HNRPA3 Antibody Titration: 1.25 ug/mL, Positive Control: Jurkat cell lysate, HNRNPA3 is strongly supported by BioGPS gene expression data to be expressed in Human Jurkat cells.
Documents Download
Request a Document
Protocol Information
HNRPA3 Rabbit Polyclonal Antibody (orb324945)
Participating in our Biorbyt product reviews program enables you to support fellow scientists by sharing your firsthand experience with our products.
Login to Submit a Review







