You have no items in your shopping cart.
HNRPL Rabbit Polyclonal Antibody
Description
Research Area
Images & Validation
−| Tested Applications | IHC, WB |
|---|---|
| Reactivity | Human |
| Predicted Reactivity | Bovine, Canine, Guinea pig, Mouse, Rabbit, Rat, Yeast, Zebrafish |
Key Properties
−| Host | Rabbit |
|---|---|
| Clonality | Polyclonal |
| Immunogen | The immunogen is a synthetic peptide directed towards the N terminal region of human HNRPL |
| Target | HNRNPL |
| Protein Sequence | Synthetic peptide located within the following region: RRRSGAMVKMAAAGGGGGGGRYYGGGSEGGRAPKRLKTDNAGDQHGGGGG |
| Molecular Weight | 65kDa |
| Purification | Protein A purified |
| Conjugation | Unconjugated |
Storage & Handling
−| Storage | Maintain refrigerated at 2-8°C for up to 2 weeks. For long term storage store at -20°C in small aliquots to prevent freeze-thaw cycles. |
|---|---|
| Buffer/Preservatives | Liquid. Purified antibody supplied in 1x PBS buffer with 0.09% (w/v) sodium azide and 2% sucrose. |
| Concentration | 1.0 mg/ml |
| Expiration Date | 12 months from date of receipt. |
| Disclaimer | For research use only |
Alternative Names
−Similar Products
−hnRNP L/HNRNPL Rabbit Polyclonal Antibody [orb1290006]
ELISA, FC, ICC, IF, IHC, WB
Human, Mouse, Rat
Rabbit
Polyclonal
Unconjugated
100 μgHnRNP L/HNRNPL Rabbit Polyclonal Antibody [orb389416]
ICC, IF, IHC, WB
Human, Mouse, Rat
Rabbit
Polyclonal
Unconjugated
100 μgHNRPL Rabbit Polyclonal Antibody [orb577552]
IF, IHC, IP, WB
Bovine, Canine, Equine, Guinea pig, Rabbit, Rat
Human, Mouse
Rabbit
Polyclonal
Unconjugated
100 μlhnRNP L rabbit pAb Antibody [orb765427]
ELISA, IF, IHC, WB
Human, Mouse
Polyclonal
Unconjugated
100 μl, 50 μl

Quality Guarantee
Explore bioreagents carefree to elevate your research. All our products are rigorously tested for performance. If a product does not perform as described on its datasheet, our scientific support team will provide expert troubleshooting, a prompt replacement, or a refund. For full details, please see our Terms & Conditions and Buying Guide. Contact us at support@biorbyt.com.

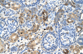
Rabbit Anti-HNRPL Antibody, Paraffin Embedded Tissue: Human Kidney, Cellular Data: Epithelial cells of renal tubule, Antibody Concentration: 4.0-8.0 ug/ml, Magnification: 400X.

WB Suggested Anti-HNRPL Antibody Titration: 1.25 ug/ml, Positive Control: Jurkat cell lysate. HNRNPL is strongly supported by BioGPS gene expression data to be expressed in Human Jurkat cells.
Documents Download
Request a Document
Protocol Information
HNRPL Rabbit Polyclonal Antibody (orb577551)
Participating in our Biorbyt product reviews program enables you to support fellow scientists by sharing your firsthand experience with our products.
Login to Submit a Review





































