You have no items in your shopping cart.
HP1 alpha Mouse Monoclonal Antibody
Description
Research Area
Images & Validation
−| Tested Applications | IF, IHC-Fr, IHC-P, WB |
|---|---|
| Dilution Range | WB=1:500-2000, IHC-P=1:100-500, IHC-F=1:100-500, IF=1:100-500 |
| Reactivity | Human |
| Predicted Reactivity | Mouse, Rat |
Related Conjugates & Formulations
−Key Properties
−| Antibody Type | Primary Antibody |
|---|---|
| Host | Mouse |
| Clonality | Monoclonal |
| Isotype | IgG |
| Clone No. | 7E3 |
| Immunogen | Recombinant human HP1 alpha Protein full length |
| Target | CBX5 |
| Molecular Weight | 22 kDa |
| Purification | Affinity purified by Protein G |
| Conjugation | Unconjugated |
Storage & Handling
−| Storage | Maintain refrigerated at 2-8°C for up to 2 weeks. For long term storage store at -20°C in small aliquots to prevent freeze-thaw cycles. |
|---|---|
| Form/Appearance | Liquid |
| Buffer/Preservatives | 0.01M TBS (pH7.4) with 1% rAlbumin, 0.02% Proclin300 and 50% Glycerol. |
| Concentration | 1mg/ml |
| Expiration Date | 12 months from date of receipt. |
| Disclaimer | For research use only |
Alternative Names
−Similar Products
−HP1 alpha/CBX5 Mouse Monoclonal Antibody [orb738489]
FC, ICC, IF, IHC, WB
Human, Mouse, Rat
Mouse
Monoclonal
Unconjugated
100 μgHP1 alpha Mouse Monoclonal Antibody [orb1474400]
IF, IHC, WB
Human, Mouse, Rat
Mouse
Monoclonal
Unconjugated
200 μl, 100 μl, 30 μl, 50 μlCBX5 Mouse Monoclonal Antibody [orb2956905]
ELISA, IF, IP
Human
Mouse
Monoclonal
Unconjugated
1 mg, 50 μg, 100 μg

Quality Guarantee
Explore bioreagents carefree to elevate your research. All our products are rigorously tested for performance. If a product does not perform as described on its datasheet, our scientific support team will provide expert troubleshooting, a prompt replacement, or a refund. For full details, please see our Terms & Conditions and Buying Guide. Contact us at support@biorbyt.com.

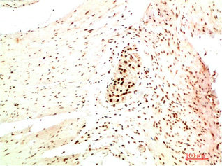
Paraformaldehyde-fixed, paraffin embedded (human cervical carcinoma), Antigen retrieval by boiling in sodium citrate buffer (pH6.0) for 15 min, Block endogenous peroxidase by 3% hydrogen peroxide for 20 minutes, Blocking buffer (normal goat serum) at 37°C for 30 min, Antibody incubation with (HP1 alpha) Monoclonal Antibody, Unconjugated (orb500702) at 1:100 overnight at 4°C, followed by operating according to SP Kit (Mouse) instructionsand DAB staining.

Paraformaldehyde-fixed, paraffin embedded (human glioma), Antigen retrieval by boiling in sodium citrate buffer (pH6.0) for 15 min, Block endogenous peroxidase by 3% hydrogen peroxide for 20 minutes, Blocking buffer (normal goat serum) at 37°C for 30 min, Antibody incubation with (HP1 alpha) Monoclonal Antibody, Unconjugated (orb500702) at 1:100 overnight at 4°C, followed by operating according to SP Kit (Mouse) instructionsand DAB staining.

Paraformaldehyde-fixed, paraffin embedded (human kidney), Antigen retrieval by boiling in sodium citrate buffer (pH6.0) for 15 min, Block endogenous peroxidase by 3% hydrogen peroxide for 20 minutes, Blocking buffer (normal goat serum) at 37°C for 30 min, Antibody incubation with (HP1 alpha) Monoclonal Antibody, Unconjugated (orb500702) at 1:100 overnight at 4°C, followed by operating according to SP Kit (Mouse) instructionsand DAB staining.

Paraformaldehyde-fixed, paraffin embedded (human Prostate Tumor), Antigen retrieval by boiling in sodium citrate buffer (pH6.0) for 15 min, Block endogenous peroxidase by 3% hydrogen peroxide for 20 minutes, Blocking buffer (normal goat serum) at 37°C for 30 min, Antibody incubation with (HP1 alpha) Monoclonal Antibody, Unconjugated (orb500702) at 1:100 overnight at 4°C, followed by operating according to SP Kit (Mouse) instructionsand DAB staining.

Sample: MOLT-4 (Human) Cell Lysate at 30 ug, Siha (Human) Cell Lysate at 30 ug, A549 (Human) Cell Lysate at 30 ug, Primary: Anti-HP1 alpha (orb500702) at 1/1000 dilution, Secondary: IRDye800CW Goat Anti-Mouse IgG at 1/20000 dilution, Predicted band size: 22 kD, Observed band size: 22 kD.
Quick Database Links
UniProt Details
−Documents Download
Request a Document
Protocol Information
HP1 alpha Mouse Monoclonal Antibody (orb500702)
Participating in our Biorbyt product reviews program enables you to support fellow scientists by sharing your firsthand experience with our products.
Login to Submit a Review




















