You have no items in your shopping cart.
Recombinant HPV16 L1 Antibody / Rabbit Monoclonal
Description
Research Area
Images & Validation
−| Tested Applications | IHC-P |
|---|---|
| Dilution Range | Immunohistochemistry (FFPE): 0.5-1ug/ml for 30 min at RT |
| Reactivity | Virus |
| Application Notes |
Key Properties
−| Antibody Type | Primary Antibody |
|---|---|
| Host | Rabbit |
| Clonality | Recombinant |
| Isotype | Rabbit IgG, kappa |
| Clone No. | HPV16/2058R |
| Immunogen | Human papilloma virus type 16, major capsid protein L1, was used as the immunogen for the recombinant HPV16 L1 antibody. |
| Purification | Protein A affinity chromatography |
| Conjugation | Unconjugated |
Storage & Handling
−| Storage | Maintain refrigerated at 2-8°C for up to 2 weeks. For long term storage store at -20°C in small aliquots to prevent freeze-thaw cycles. |
|---|---|
| Buffer/Preservatives | 0.2 mg/ml in 1X PBS with 0.1 mg/ml rAlbumin and 0.05% sodium azide |
| Expiration Date | 12 months from date of receipt. |
| Disclaimer | For research use only |
Similar Products
−Recombinant HPV16 L1 Antibody / Rabbit Monoclonal [orb2640819]
IHC-P
Virus
Rabbit
Recombinant
Unconjugated
7 mlRecombinant HPV16 L1 Antibody / Rabbit Monoclonal [orb2640820]
IHC-P
Virus
Rabbit
Recombinant
Unconjugated
100 μg

Quality Guarantee
Explore bioreagents carefree to elevate your research. All our products are rigorously tested for performance. If a product does not perform as described on its datasheet, our scientific support team will provide expert troubleshooting, a prompt replacement, or a refund. For full details, please see our Terms & Conditions and Buying Guide. Contact us at support@biorbyt.com.

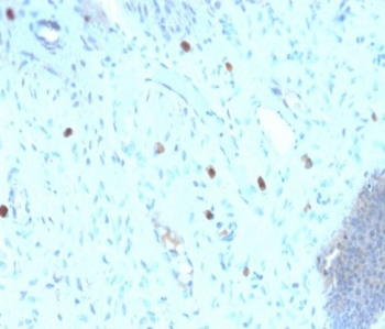
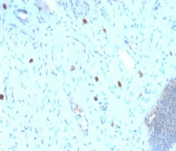
IHC staining of FFPE human cervix with recombinant HPV16 L1 antibody (clone HPV16/2058R). Required HIER: boil tissue sections in pH6, 10mM citrate buffer, for 10-20 min followed by cooling at RT for 20 min.

SDS-PAGE analysis of purified, BSA-free recombinant HPV16 L1 antibody (clone HPV16/2058R) as confirmation of integrity and purity.
Quick Database Links
UniProt Details
−Documents Download
Request a Document
Recombinant HPV16 L1 Antibody / Rabbit Monoclonal (orb606483)
Participating in our Biorbyt product reviews program enables you to support fellow scientists by sharing your firsthand experience with our products.
Login to Submit a Review


